Die Geburt eines Kindes ist ein wunderschönes und kraftvolles Erlebnis, das jedoch auch Auswirkungen auf den Körper der Frau haben kann. Eine dieser Auswirkungen kann die Veränderung des Schließmuskels sein. Dieser Muskel, der für die Kontrolle der Stuhlentleerung verantwortlich ist, kann durch die Geburt geschwächt oder sogar verletzt werden. In diesem Artikel erfahren Sie alles Wissenswerte über den Schließmuskel nach der Geburt, mögliche Probleme und Behandlungsmöglichkeiten.
- Was ist der Schließmuskel und seine Funktion?
- Häufige Probleme mit dem Schließmuskel nach der Geburt
- Behandlungsmöglichkeiten für Schließmuskelprobleme nach der Geburt
- Wie kann ich meinen Schließmuskel nach der Geburt stärken?
- Wann sollte ich einen Arzt aufsuchen?
-
- Was ist eine Analfissur?
- Wie kann ich einer Verstopfung vorbeugen?
- Wie lange dauert es, bis der Schließmuskel nach der Geburt wieder normal funktioniert?
- Ist es normal, dass ich nach der Geburt Probleme mit dem Stuhlgang habe?
- Welche Rolle spielt die Ernährung bei der Stärkung des Schließmuskels?
- Gibt es Übungen, die ich machen kann, um den Schließmuskel zu stärken?
- Fazit
Was ist der Schließmuskel und seine Funktion?
Der Schließmuskel, auch bekannt als Anussphinkter, ist ein ringförmiger Muskel, der sich am Ende des Mastdarms befindet. Er besteht aus zwei Teilen: dem äußeren Schließmuskel, der willkürlich gesteuert wird und für die bewusste Kontrolle der Stuhlentleerung verantwortlich ist, und dem inneren Schließmuskel, der unwillkürlich arbeitet und den Darm ständig geschlossen hält.
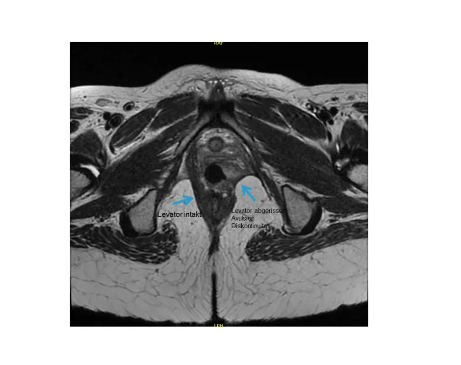
Wie wirkt sich die Geburt auf den Schließmuskel aus?
Die Geburt kann den Schließmuskel auf verschiedene Arten beeinflussen:

- Dehnung: Während der Geburt wird der Schließmuskel stark gedehnt, was zu einer vorübergehenden Schwäche führen kann.
- Risse: In einigen Fällen kann es zu Rissen im Schließmuskel kommen, die als Perineumrisse bezeichnet werden. Diese Risse können unterschiedlich stark ausgeprägt sein und erfordern möglicherweise eine medizinische Behandlung.
- Schwäche: Die Geburt kann auch zu einer allgemeinen Schwäche des Schließmuskels führen, die zu Problemen mit der Stuhlkontrolle führen kann.
Häufige Probleme mit dem Schließmuskel nach der Geburt
Nach der Geburt können verschiedene Probleme mit dem Schließmuskel auftreten, darunter:
- Stuhlinkontinenz: Unfreiwilliger Stuhlverlust, der durch eine Schwäche des Schließmuskels verursacht wird.
- Analfissuren: Kleine Risse in der Haut am After, die starke Schmerzen beim Stuhlgang verursachen können.
- Hämorrhoiden: Geschwollene Venen im Analkanal, die zu Schmerzen, Juckreiz und Blutungen führen können.
- Rektusdiastase: Trennung der Bauchmuskeln, die zu einer Schwäche des Beckenbodens und damit auch des Schließmuskels führen kann.
Behandlungsmöglichkeiten für Schließmuskelprobleme nach der Geburt
Die Behandlung von Schließmuskelproblemen nach der Geburt hängt von der Art und Schwere des Problems ab. Zu den gängigen Behandlungsmethoden gehören:
- Konservative Therapie:
- Beckenbodentraining: Übungen, die die Muskeln des Beckenbodens stärken und die Kontrolle über den Schließmuskel verbessern.
- Salben und Zäpfchen: Für die Behandlung von Analfissuren und Hämorrhoiden.
- Ernährungsumstellung: Vermeidung von verstopfungsfördernden Lebensmitteln und ausreichend Flüssigkeit.
- Operative Therapie:
- Fissurektomie: Operation zur Entfernung der Analfissur. Diese Operation wird in der Regel ambulant durchgeführt und kann mit einer Botox-Therapie kombiniert werden.
- Hämorrhoidenoperation: Operation zur Entfernung von Hämorrhoiden.
Wie kann ich meinen Schließmuskel nach der Geburt stärken?
Es gibt verschiedene Möglichkeiten, den Schließmuskel nach der Geburt zu stärken:
- Beckenbodentraining: Regelmäßige Durchführung von Beckenbodentraining ist essentiell. Es gibt verschiedene Übungen, die Sie durchführen können, z. B. Das Anspannen des Beckenbodens, als würden Sie den Stuhlgang unterdrücken, oder das Anheben des Beckenbodens, als würden Sie eine Blase halten.
- Yoga: Bestimmte Yoga-Posen können den Beckenboden stärken und die Durchblutung fördern.
- Physiotherapie: Ein Physiotherapeut kann Ihnen individuelle Übungen zeigen, die Ihren Bedürfnissen entsprechen.
Wann sollte ich einen Arzt aufsuchen?
Wenn Sie nach der Geburt Probleme mit dem Schließmuskel haben, sollten Sie einen Arzt aufsuchen. Dies gilt insbesondere, wenn:
- Sie unter starken Schmerzen leiden.
- Sie unter unfreiwilligem Stuhlverlust leiden.
- Sie Blut im Stuhl feststellen.
- Sie Probleme mit dem Wasserlassen haben.
Was ist eine Analfissur?
Eine Analfissur ist ein kleiner Riss in der Haut am After, der starke Schmerzen beim Stuhlgang verursachen kann. Die Ursache für Analfissuren ist meist Verstopfung oder harter Stuhlgang. Häufig sind Analfissuren auch ein Symptom für Hämorrhoiden.
Wie kann ich einer Verstopfung vorbeugen?
Um einer Verstopfung vorzubeugen, sollten Sie ausreichend Flüssigkeit zu sich nehmen, ballaststoffreiche Lebensmittel essen und regelmässig Bewegung machen. Vermeiden Sie verstopfungsfördernde Lebensmittel wie z. B. Rotes Fleisch, Bananen und Reis.
Wie lange dauert es, bis der Schließmuskel nach der Geburt wieder normal funktioniert?
Die Zeit, die der Schließmuskel benötigt, um sich nach der Geburt wieder zu erholen, ist individuell unterschiedlich. In vielen Fällen ist die Funktion des Schließmuskels bereits nach wenigen Wochen wieder normal. Bei einigen Frauen kann es jedoch länger dauern, bis die volle Funktion wiederhergestellt ist.
Ist es normal, dass ich nach der Geburt Probleme mit dem Stuhlgang habe?
Ja, es ist normal, dass Sie nach der Geburt Probleme mit dem Stuhlgang haben. Dies kann durch die hormonellen Veränderungen nach der Geburt, die Dehnung des Schließmuskels oder die Einnahme von Schmerzmitteln verursacht werden.
Welche Rolle spielt die Ernährung bei der Stärkung des Schließmuskels?
Eine ausgewogene Ernährung spielt eine wichtige Rolle bei der Stärkung des Schließmuskels. Eine ausreichende Zufuhr von Ballaststoffen und Flüssigkeit hilft, den Stuhlgang zu regulieren und den Druck auf den Schließmuskel zu reduzieren. Vermeiden Sie verstopfungsfördernde Lebensmittel und achten Sie auf eine gesunde und abwechslungsreiche Ernährung.
Gibt es Übungen, die ich machen kann, um den Schließmuskel zu stärken?
Ja, es gibt verschiedene Übungen, die Sie machen können, um den Schließmuskel zu stärken. Dazu gehören z. B. Beckenbodentraining, Yoga und Pilates. Ein Physiotherapeut kann Ihnen individuelle Übungen zeigen, die Ihren Bedürfnissen entsprechen.
Fazit
Die Geburt eines Kindes kann den Schließmuskel beeinflussen und zu verschiedenen Problemen führen. Es ist wichtig, diese Probleme ernst zu nehmen und sich bei Bedarf an einen Arzt zu wenden. Durch eine frühzeitige Behandlung und die Stärkung des Schließmuskels können Sie die Lebensqualität nach der Geburt verbessern und einer möglichen Inkontinenz vorbeugen.
Wenn Sie andere Artikel kennenlernen möchten, die Schließmuskel nach geburt: probleme & hilfe ähneln, können Sie die Kategorie Beckenboden besuchen.
