Eine Heterotope Schwangerschaft ist eine seltene, aber ernstzunehmende Komplikation, die auftritt, wenn sich eine Schwangerschaft gleichzeitig in der Gebärmutter und außerhalb der Gebärmutter, meist in der Eileiter, entwickelt. Dies ist ein komplexer Fall, der besondere medizinische Aufmerksamkeit erfordert.
- Was ist eine Heterotope Schwangerschaft?
- Symptome einer Heterotopen Schwangerschaft
- Diagnose einer Heterotopen Schwangerschaft
- Behandlung einer Heterotopen Schwangerschaft
- Risiken einer Heterotopen Schwangerschaft
- Prävention einer Heterotopen Schwangerschaft
- Häufig gestellte Fragen
- Tabelle: Heterotope Schwangerschaft im Vergleich zu normaler Schwangerschaft
Was ist eine Heterotope Schwangerschaft?
Im Gegensatz zu einer normalen Schwangerschaft, die in der Gebärmutter stattfindet, entwickelt sich bei einer Heterotopen Schwangerschaft ein Embryo außerhalb der Gebärmutter. Die häufigste Form der Heterotopen Schwangerschaft ist die Eileiterschwangerschaft, bei der sich der Embryo im Eileiter einnistet. In seltenen Fällen können sich Embryonen auch an anderen Stellen im Körper entwickeln, wie zum Beispiel in der Bauchhöhle, im Eierstock oder am Gebärmutterhals.
Die Ursache für eine Heterotope Schwangerschaft ist nicht vollständig geklärt. Es wird vermutet, dass Faktoren wie Eileiterverstopfungen, Endometriose, vorherige Eileiterschwangerschaften oder Fruchtbarkeitsbehandlungen das Risiko für eine Heterotope Schwangerschaft erhöhen können.
Symptome einer Heterotopen Schwangerschaft
Die Symptome einer Heterotopen Schwangerschaft ähneln oft den Symptomen einer normalen Schwangerschaft. Allerdings können sie auch unterschiedlich stark ausgeprägt sein und in einigen Fällen sogar ganz fehlen. Mögliche Symptome sind:
- Vaginale Blutungen
- Schmerzen im Unterleib
- Übelkeit und Erbrechen
- Schwindel
- Schwächegefühl
Es ist wichtig zu beachten, dass diese Symptome auch bei anderen Erkrankungen auftreten können. Daher ist es ratsam, bei Verdacht auf eine Heterotope Schwangerschaft sofort einen Arzt aufzusuchen.
Diagnose einer Heterotopen Schwangerschaft
Die Diagnose einer Heterotopen Schwangerschaft erfolgt in der Regel durch eine Kombination aus folgenden Untersuchungen:
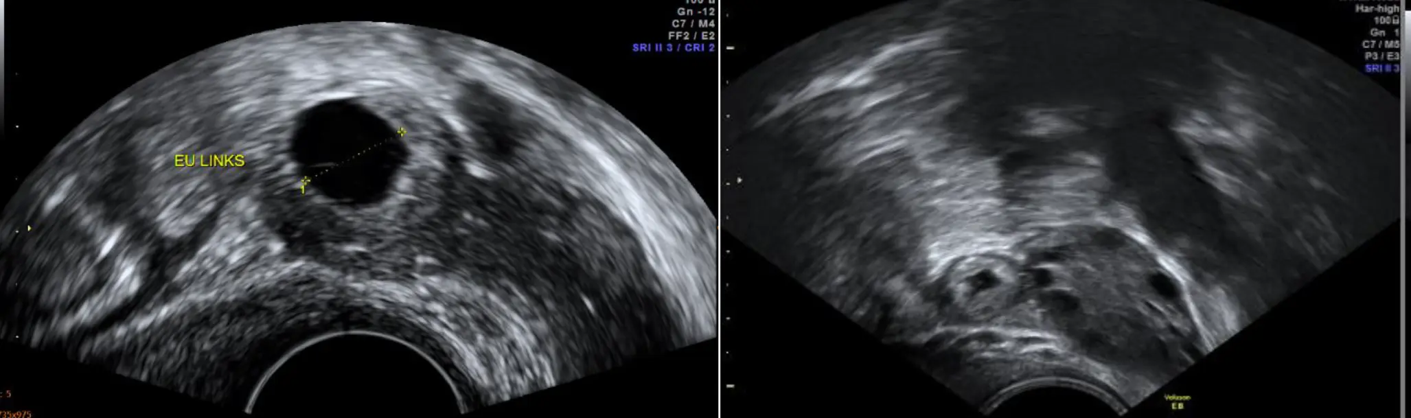
- Ultraschalluntersuchung : Ein Ultraschall kann helfen, die Lage des Embryos zu identifizieren und eine Schwangerschaft in der Gebärmutter auszuschließen.
- Blutuntersuchung : Die Messung des Hormons Humanes Choriongonadotropin (hCG) im Blut kann Aufschluss über das Vorliegen einer Schwangerschaft geben. Bei einer Heterotopen Schwangerschaft steigen die hCG-Werte in der Regel langsamer an als bei einer normalen Schwangerschaft.
- Laparoskopie : Bei Unsicherheit über die Diagnose kann eine Laparoskopie durchgeführt werden. Dabei wird ein dünner Schlauch mit einer Kamera in die Bauchhöhle eingeführt, um die Lage des Embryos zu visualisieren.
Behandlung einer Heterotopen Schwangerschaft
Die Behandlung einer Heterotopen Schwangerschaft hängt von der Schwere der Erkrankung und dem Allgemeinzustand der Patientin ab. Folgende Behandlungsmöglichkeiten stehen zur Verfügung:
- Medikamentöse Behandlung : In frühen Stadien der Schwangerschaft kann eine medikamentöse Behandlung mit Methotrexat in Betracht gezogen werden. Methotrexat stoppt das Wachstum des Embryos und führt zu dessen Abstoßung.
- Operative Behandlung : Bei einer fortgeschrittenen Schwangerschaft oder bei Komplikationen wie einer Eileiterruptur ist eine operative Behandlung notwendig. Dabei wird der Embryo entfernt und der Eileiter kann gegebenenfalls entfernt werden.
Risiken einer Heterotopen Schwangerschaft
Eine Heterotope Schwangerschaft kann zu schwerwiegenden Komplikationen führen, darunter:
- Eileiterruptur : Wenn der Embryo im Eileiter wächst, kann es zu einer Ruptur des Eileiters kommen. Dies ist ein medizinischer Notfall, der eine sofortige Operation erfordert.
- Innere Blutungen : Eine Eileiterruptur kann zu starken inneren Blutungen führen, die lebensbedrohlich sein können.
- Unfruchtbarkeit : Eine Heterotope Schwangerschaft kann die Fruchtbarkeit beeinträchtigen, insbesondere wenn der Eileiter entfernt werden muss.
Prävention einer Heterotopen Schwangerschaft
Es gibt keine garantierte Methode, um eine Heterotope Schwangerschaft zu verhindern. Allerdings können einige Maßnahmen das Risiko reduzieren:
- Regelmäßige Vorsorgeuntersuchungen : Regelmäßige gynäkologische Untersuchungen können helfen, Eileiterverstopfungen oder andere Risikofaktoren frühzeitig zu erkennen.
- Verhütung von sexuell übertragbaren Krankheiten : Sexuell übertragbare Krankheiten können zu Eileiterentzündungen führen, die das Risiko für eine Heterotope Schwangerschaft erhöhen.
- Vorsicht bei Fruchtbarkeitsbehandlungen : Bei Fruchtbarkeitsbehandlungen ist es wichtig, die Risiken und Vorteile der verschiedenen Verfahren sorgfältig abzuwägen.
Häufig gestellte Fragen
Was sind die Symptome einer Heterotopen Schwangerschaft?
Die Symptome einer Heterotopen Schwangerschaft ähneln oft den Symptomen einer normalen Schwangerschaft. Allerdings können sie auch unterschiedlich stark ausgeprägt sein und in einigen Fällen sogar ganz fehlen. Mögliche Symptome sind vaginale Blutungen, Schmerzen im Unterleib, Übelkeit und Erbrechen, Schwindel und Schwächegefühl.
Wie wird eine Heterotope Schwangerschaft diagnostiziert?
Die Diagnose einer Heterotopen Schwangerschaft erfolgt in der Regel durch eine Kombination aus Ultraschalluntersuchung, Blutuntersuchung und gegebenenfalls Laparoskopie.
Wie wird eine Heterotope Schwangerschaft behandelt?
Die Behandlung einer Heterotopen Schwangerschaft hängt von der Schwere der Erkrankung und dem Allgemeinzustand der Patientin ab. In frühen Stadien der Schwangerschaft kann eine medikamentöse Behandlung mit Methotrexat in Betracht gezogen werden. Bei einer fortgeschrittenen Schwangerschaft oder bei Komplikationen ist eine operative Behandlung notwendig.
Was sind die Risiken einer Heterotopen Schwangerschaft?
Eine Heterotope Schwangerschaft kann zu schwerwiegenden Komplikationen führen, darunter Eileiterruptur, innere Blutungen und Unfruchtbarkeit.
Kann man eine Heterotope Schwangerschaft verhindern?
Es gibt keine garantierte Methode, um eine Heterotope Schwangerschaft zu verhindern. Allerdings können einige Maßnahmen das Risiko reduzieren, wie zum Beispiel regelmäßige Vorsorgeuntersuchungen, Verhütung von sexuell übertragbaren Krankheiten und Vorsicht bei Fruchtbarkeitsbehandlungen.
Tabelle: Heterotope Schwangerschaft im Vergleich zu normaler Schwangerschaft
| Merkmal | Heterotope Schwangerschaft | Normale Schwangerschaft |
|---|---|---|
| Lage des Embryos | Außerhalb der Gebärmutter (meist in der Eileiter) | In der Gebärmutter |
| hCG-Werte | Steigen langsamer an als bei normaler Schwangerschaft | Steigen schneller an als bei Heterotoper Schwangerschaft |
| Symptome | Ähnlich wie bei normaler Schwangerschaft, aber können auch unterschiedlich stark ausgeprägt sein | Typische Schwangerschaftsymptome |
| Risiken | Eileiterruptur, innere Blutungen, Unfruchtbarkeit | Schwangerschaftskomplikationen wie Frühgeburt, Präeklampsie |
Eine Heterotope Schwangerschaft ist ein ernster Zustand, der eine sofortige medizinische Behandlung erfordert. Wenn Sie Symptome einer Heterotopen Schwangerschaft bemerken, suchen Sie bitte sofort einen Arzt auf. Frühzeitige Diagnose und Behandlung können die Risiken minimieren und die Chancen auf eine erfolgreiche Schwangerschaft in der Zukunft erhöhen.
Wenn Sie andere Artikel kennenlernen möchten, die Heterotope schwangerschaft: selten, aber ernst! ähneln, können Sie die Kategorie Schwangerschaft komplikationen besuchen.
