Ein subchorionisches Hämatom, auch bekannt als subchorionischer Blutgerinnsel, ist eine Ansammlung von Blut zwischen der Fruchthülle und der Gebärmutterwand. Es tritt bei etwa 1% der Schwangerschaften auf und ist oft mit vaginaler Blutung verbunden. Während ein subchorionisches Hämatom beängstigend sein kann, ist es wichtig zu wissen, dass viele Frauen ohne Komplikationen eine Schwangerschaft mit einem Hämatom durchleben.
Was ist ein subchorionisches Hämatom?
Die Fruchthülle, die das Baby im Mutterleib umgibt, besteht aus zwei Schichten: dem Chorion und dem Amnion. Das Chorion ist die äußere Schicht, die normalerweise an der Gebärmutterwand anliegt. Das Amnion ist die innere Schicht, die das Baby umgibt. Ein subchorionisches Hämatom ist ein Blutgerinnsel, das zwischen dem Chorion und der Gebärmutterwand entsteht.

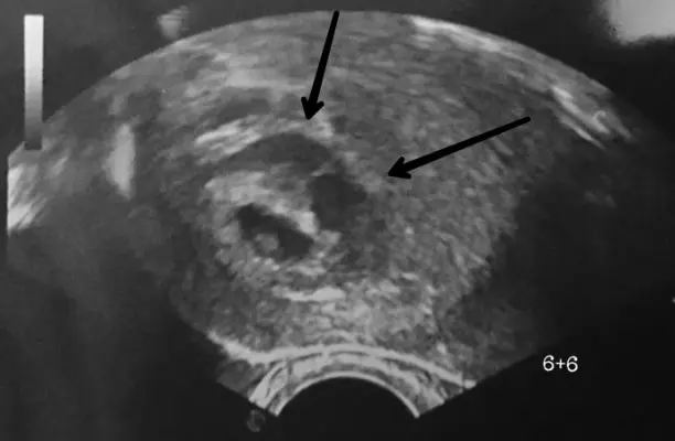
Wie sieht ein subchorionisches Hämatom im Ultraschall aus?
Subchorionische Hämatome können im Ultraschall erkannt werden. Sie erscheinen als dunkle, flüssigkeitsgefüllte Bereiche zwischen der Fruchthülle und der Gebärmutterwand. Die Größe und Form des Hämatoms kann variieren.
Was sind die Ursachen für ein subchorionisches Hämatom?
Die genaue Ursache für ein subchorionisches Hämatom ist oft unklar. Es wird vermutet, dass es durch verschiedene Faktoren ausgelöst werden kann, darunter:
- Hormonelle Veränderungen: Die hormonellen Veränderungen während der Schwangerschaft können die Blutgefäße in der Gebärmutterwand schwächen und das Risiko für Blutungen erhöhen.
- Trauma: Ein Sturz, ein Unfall oder ein starkes Husten können zu einem subchorionischen Hämatom führen.
- Blutgerinnungsstörungen: Frauen mit Blutgerinnungsstörungen haben ein erhöhtes Risiko für subchorionische Hämatome.
- Bluthochdruck: Bluthochdruck während der Schwangerschaft kann die Blutgefäße in der Gebärmutterwand schädigen und das Risiko für Blutungen erhöhen.
- Drogenkonsum: Der Konsum von Drogen wie Kokain oder Amphetaminen kann das Risiko für subchorionische Hämatome erhöhen.
Symptome eines subchorionischen Hämatoms
Die häufigsten Symptome eines subchorionischen Hämatoms sind:
- Vaginale Blutung: Die Blutung kann hellrot, dunkelrot oder braun sein. Sie kann leicht oder stark sein und kann für kurze Zeit oder über einen längeren Zeitraum auftreten.
- Unterleibsschmerzen: Die Schmerzen können krampfartig oder dumpf sein und können in der Regel in der unteren Bauchregion auftreten.
Diagnose eines subchorionischen Hämatoms
Ein subchorionisches Hämatom kann durch eine Ultraschalluntersuchung diagnostiziert werden. Der Arzt wird die Größe und Form des Hämatoms beurteilen und nach anderen Anzeichen von Komplikationen suchen.
Behandlung eines subchorionischen Hämatoms
Es gibt keine spezifische Behandlung für ein subchorionisches Hämatom. Die meisten Hämatome lösen sich von selbst auf. Die Behandlung konzentriert sich darauf, die Symptome zu lindern und Komplikationen zu verhindern.
Die Behandlung kann Folgendes umfassen:
- Ruhe: Es wird empfohlen, sich auszuruhen und schwere Aktivitäten zu vermeiden.
- Medikamente: Medikamente zur Linderung von Schmerzen und Krämpfen können verordnet werden.
- Überwachung: Regelmäßige Ultraschalluntersuchungen werden durchgeführt, um die Größe und Form des Hämatoms zu überwachen und nach anderen Anzeichen von Komplikationen zu suchen.
Komplikationen eines subchorionischen Hämatoms
Ein subchorionisches Hämatom kann zu verschiedenen Komplikationen führen, darunter:
- Frühgeburt: Ein Hämatom kann das Risiko für eine Frühgeburt erhöhen.
- Fehlgeburt: In einigen Fällen kann ein Hämatom zu einer Fehlgeburt führen.
- Plazentaablösung: Ein Hämatom kann die Plazenta von der Gebärmutterwand lösen, was zu einer Plazentaablösung führt.
- Fetalwachstumseinschränkung: Ein Hämatom kann das Wachstum des Babys beeinträchtigen.
Hämatom in der Schwangerschaft abbluten
Ein subchorionisches Hämatom kann abbluten, was zu einer vaginalen Blutung führen kann. Die Blutung kann leicht oder stark sein und kann für kurze Zeit oder über einen längeren Zeitraum auftreten.
Was bedeutet braunes Blut?
Braunes Blut ist ein Zeichen dafür, dass das Blut älter ist und sich zersetzt hat. Es kann ein Zeichen dafür sein, dass das Hämatom abblutet, aber es kann auch andere Ursachen haben.
Wenn Sie braunes Blut bemerken, sollten Sie Ihren Arzt aufsuchen, um die Ursache zu klären.
Hämatom in der Schwangerschaft:
Kann ich etwas tun, um ein Hämatom zu verhindern?
Es gibt keine bewährten Methoden, um ein subchorionisches Hämatom zu verhindern. Es ist jedoch wichtig, während der Schwangerschaft auf eine gesunde Lebensweise zu achten, die folgenden Punkte können helfen:
- Gesunde Ernährung: Eine ausgewogene Ernährung mit viel Obst, Gemüse und Vollkornprodukten kann dazu beitragen, die allgemeine Gesundheit zu verbessern und das Risiko für Komplikationen während der Schwangerschaft zu verringern.
- Regelmäßige Bewegung: Moderate Bewegung während der Schwangerschaft kann dazu beitragen, das Gewicht zu kontrollieren, die Durchblutung zu verbessern und das Risiko für Komplikationen zu verringern.
- Vermeidung von Rauchen und Alkohol: Rauchen und Alkoholkonsum während der Schwangerschaft können das Risiko für Komplikationen erhöhen.
- Stressabbau: Stress kann das Risiko für Komplikationen während der Schwangerschaft erhöhen. Es ist wichtig, Techniken zur Stressbewältigung zu finden, wie z. B. Yoga, Meditation oder Zeit in der Natur verbringen.
Wie lange dauert es, bis ein Hämatom verschwindet?
Die Dauer, die ein Hämatom benötigt, um zu verschwinden, variiert von Frau zu Frau. In vielen Fällen löst es sich innerhalb weniger Wochen von selbst auf. In einigen Fällen kann es jedoch länger dauern.
Welche Auswirkungen hat ein Hämatom auf das Baby?
Ein Hämatom kann das Risiko für Komplikationen während der Schwangerschaft erhöhen, wie z. B. Frühgeburt und Fehlgeburt. Es ist jedoch wichtig zu wissen, dass viele Frauen mit einem Hämatom eine gesunde Schwangerschaft und ein gesundes Baby bekommen.
Was kann ich tun, um das Risiko für Komplikationen zu verringern?
Es gibt eine Reihe von Maßnahmen, die Sie ergreifen können, um das Risiko für Komplikationen zu verringern, wenn Sie ein Hämatom haben:
- Ruhe: Es ist wichtig, sich auszuruhen und schwere Aktivitäten zu vermeiden.
- Regelmäßige Arztbesuche: Regelmäßige Arztbesuche sind wichtig, um die Größe und Form des Hämatoms zu überwachen und nach anderen Anzeichen von Komplikationen zu suchen.
- Medikamente: Medikamente zur Linderung von Schmerzen und Krämpfen können verordnet werden.
- Frühgeburt: Wenn Sie Anzeichen einer Frühgeburt haben, wie z. B. Krämpfe oder starke Schmerzen, sollten Sie sofort Ihren Arzt aufsuchen.
Fazit
Ein subchorionisches Hämatom kann eine beängstigende Diagnose sein, aber es ist wichtig zu wissen, dass viele Frauen ohne Komplikationen eine Schwangerschaft mit einem Hämatom durchleben. Wenn Sie ein Hämatom haben, ist es wichtig, die Anweisungen Ihres Arztes zu befolgen und sich regelmäßig untersuchen zu lassen.
Wenn Sie sich Sorgen über Ihre Schwangerschaft machen, sprechen Sie mit Ihrem Arzt. Er kann Ihnen die besten Ratschläge für Ihre individuelle Situation geben.
Wenn Sie andere Artikel kennenlernen möchten, die Hämatom in der schwangerschaft: ursachen & behandlung ähneln, können Sie die Kategorie Schwangerschaft komplikationen besuchen.
