Ein Zwerchfellhochstand, auch bekannt als Zwerchfellparese, kann ein beunruhigender Zustand sein. Er tritt auf, wenn das Zwerchfell, der wichtigste Atemmuskel, nicht mehr richtig funktioniert. Dies kann zu Atembeschwerden und anderen Problemen führen. In diesem Artikel erfahren Sie alles Wichtige über Zwerchfellhochstand, seine Ursachen, Symptome und Behandlungsmöglichkeiten.
Was ist ein Zwerchfellhochstand?
Das Zwerchfell ist ein kuppelförmiger Muskel, der die Brusthöhle vom Bauchraum trennt. Es spielt eine entscheidende Rolle bei der Atmung, indem es sich bei jedem Atemzug zusammenzieht und entspannt. Dadurch wird Luft in die Lunge gezogen und wieder ausgeatmet. Ein Zwerchfellhochstand liegt vor, wenn das Zwerchfell nicht mehr richtig funktioniert und sich nicht mehr vollständig zusammenziehen kann. Dies kann verschiedene Ursachen haben, wie z. B. Eine Lähmung des Zwerchfellnervs, eine Verletzung oder eine Krankheit.
Symptome eines Zwerchfellhochstands
Ein Zwerchfellhochstand kann verschiedene Symptome verursachen, die von Person zu Person unterschiedlich stark ausgeprägt sind. Zu den häufigsten Symptomen gehören:
- Atemnot, insbesondere bei körperlicher Belastung
- Kurzatmigkeit
- Husten
- Schwierigkeiten beim Atmen im Liegen
- Schmerzen im Brustkorb
- Schluckbeschwerden
- Verdauungsstörungen
In schweren Fällen kann ein Zwerchfellhochstand zu einer lebensbedrohlichen Situation führen, wenn die Atmung stark beeinträchtigt ist. Daher ist es wichtig, bei Auftreten von Atembeschwerden oder anderen Symptomen einen Arzt aufzusuchen.
Ursachen für einen Zwerchfellhochstand
Die häufigste Ursache für einen Zwerchfellhochstand ist eine Lähmung des Zwerchfellnervs. Dieser Nerv versorgt das Zwerchfell mit Nervenimpulsen, die für die Muskelbewegung notwendig sind. Eine Lähmung des Zwerchfellnervs kann verschiedene Ursachen haben, darunter:

- Idiopathische Lähmung: In vielen Fällen ist die Ursache für die Lähmung des Zwerchfellnervs unbekannt. Man spricht dann von einer idiopathischen Lähmung. Es wird vermutet, dass eine Virusinfektion die Ursache sein kann.
- Verletzung: Eine Verletzung des Zwerchfellnervs kann durch eine Operation am Herzen oder Thymus, eine Verletzung des Halses oder des Brustkorbs oder einen Unfall verursacht werden.
- Entzündung: Eine Entzündung des Zwerchfellnervs kann durch eine Infektion, einen Tumor oder eine andere Krankheit verursacht werden.
- Tumor: Ein Tumor im Hals oder im Brustkorb kann den Zwerchfellnerv komprimieren und zu einer Lähmung führen.
Neben einer Lähmung des Zwerchfellnervs können auch andere Faktoren zu einem Zwerchfellhochstand führen, wie z. B. Eine Verletzung des Zwerchfellmuskels selbst, eine Erkrankung des Zwerchfells oder eine Fehlbildung des Zwerchfells.
Diagnose eines Zwerchfellhochstands
Um einen Zwerchfellhochstand zu diagnostizieren, werden verschiedene Untersuchungen durchgeführt. Dazu gehören:
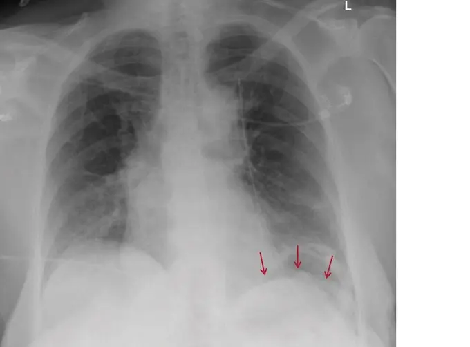
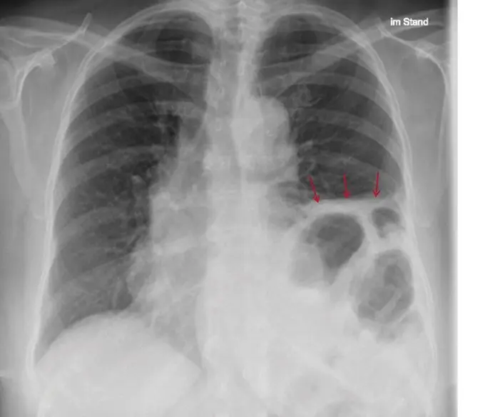
- Röntgenaufnahme des Brustkorbs: Eine Röntgenaufnahme des Brustkorbs zeigt, ob das Zwerchfell auf einer oder beiden Seiten höher steht als normal.
- Spirometrie: Eine Spirometrie misst die Lungenfunktion und kann zeigen, wie viel Luft ein Patient einatmen kann. Bei einem Zwerchfellhochstand ist die Lungenfunktion in der Regel eingeschränkt.
- Ultraschalluntersuchung: Eine Ultraschalluntersuchung des Zwerchfells kann die Bewegung des Zwerchfells und die Dicke des Muskels beurteilen.
- Computertomografie (CT) oder Magnetresonanztomografie (MRT): Diese bildgebenden Verfahren können den Zwerchfellnerv und das Zwerchfell detailliert darstellen und helfen, die Ursache für den Zwerchfellhochstand zu finden.
- Neurographie und Elektromyographie: Diese neurologischen Untersuchungen können die Funktion des Zwerchfellnervs beurteilen. Sie werden jedoch nur in seltenen Fällen durchgeführt.
Behandlung eines Zwerchfellhochstands
Die Behandlung eines Zwerchfellhochstands hängt von der Ursache und dem Schweregrad der Symptome ab. In vielen Fällen ist keine Behandlung notwendig, wenn der Zwerchfellhochstand keine Beschwerden verursacht. Wenn jedoch Atembeschwerden auftreten, kann eine Behandlung erforderlich sein. Die häufigsten Behandlungsmöglichkeiten sind:
- Zwerchfellraffung: Bei einer Zwerchfellraffung wird das gelähmte Zwerchfell mit Nähten gerafft. Dadurch wird die Atemarbeit der restlichen Atemmuskulatur verbessert und die Lungenfunktion gesteigert.
- Medikamente: In einigen Fällen können Medikamente wie Bronchodilatatoren die Atembeschwerden lindern.
- Atemtherapie: Atemtherapie kann helfen, die Lungenfunktion zu verbessern und die Atembeschwerden zu lindern.
- Sauerstofftherapie: Bei schwerer Atemnot kann eine Sauerstofftherapie notwendig sein.
- Operation: In seltenen Fällen kann eine Operation erforderlich sein, um die Ursache des Zwerchfellhochstands zu behandeln, z. B. Um einen Tumor zu entfernen.
Kann man ohne Zwerchfell gut leben?
Das Zwerchfell ist ein lebenswichtiger Muskel. Ohne Zwerchfell kann man nicht richtig atmen. Es ist der Rhythmusgeber für die Atmung und spielt eine wichtige Rolle bei vielen anderen Körperfunktionen. Daher ist es wichtig, einen Zwerchfellhochstand ernst zu nehmen und bei Bedarf einen Arzt aufzusuchen.
Was sind die ersten Anzeichen eines Zwerchfellhochstands?
Die ersten Anzeichen eines Zwerchfellhochstands sind in der Regel Atembeschwerden, insbesondere bei körperlicher Belastung. Weitere Symptome können Kurzatmigkeit, Husten, Schmerzen im Brustkorb und Schluckbeschwerden sein.

Ist ein Zwerchfellhochstand gefährlich?
Ein Zwerchfellhochstand kann gefährlich sein, wenn er zu schwerer Atemnot führt. In schweren Fällen kann er sogar lebensbedrohlich sein. Daher ist es wichtig, bei Auftreten von Atembeschwerden oder anderen Symptomen einen Arzt aufzusuchen.
Kann man einen Zwerchfellhochstand operieren?
Ja, in einigen Fällen kann eine Operation notwendig sein, um die Ursache des Zwerchfellhochstands zu behandeln, z. B. Um einen Tumor zu entfernen. In anderen Fällen kann eine Operation zur Verbesserung der Lungenfunktion durchgeführt werden, z. B. Eine Zwerchfellraffung.

Was kann ich tun, um einem Zwerchfellhochstand vorzubeugen?
Es gibt keine bewährten Methoden, um einem Zwerchfellhochstand vorzubeugen. Allerdings können Sie Ihre allgemeine Gesundheit verbessern, indem Sie eine gesunde Lebensweise führen, regelmäßig Sport treiben und eine ausgewogene Ernährung einhalten. Dies kann das Risiko für viele Krankheiten, einschließlich derer, die zu einem Zwerchfellhochstand führen können, reduzieren.

Wie lange dauert es, bis sich ein Zwerchfellhochstand wieder erholt?
Die Dauer der Erholung hängt von der Ursache des Zwerchfellhochstands ab. In einigen Fällen kann sich das Zwerchfell innerhalb weniger Wochen oder Monate wieder erholen. In anderen Fällen kann es jedoch länger dauern oder es kann zu einer dauerhaften Schädigung kommen.
Zusammenfassung
Ein Zwerchfellhochstand ist ein ernstzunehmender Zustand, der zu Atembeschwerden und anderen Problemen führen kann. Die Ursachen für einen Zwerchfellhochstand sind vielfältig, darunter eine Lähmung des Zwerchfellnervs, eine Verletzung oder eine Krankheit. Die Behandlung hängt von der Ursache und dem Schweregrad der Symptome ab. In vielen Fällen ist keine Behandlung notwendig, aber bei Atembeschwerden kann eine Behandlung erforderlich sein. Wenn Sie Atembeschwerden oder andere Symptome haben, die auf einen Zwerchfellhochstand hindeuten könnten, sollten Sie einen Arzt aufsuchen.
Wenn Sie andere Artikel kennenlernen möchten, die Zwerchfellhochstand: symptome, ursachen & behandlung ähneln, können Sie die Kategorie Zwerchfellhochstand besuchen.
