Die meisten Menschen kommen mit zwei Nieren auf die Welt, aber es gibt auch Fälle, in denen ein Kind nur eine funktionierende Niere hat. Diese Situation kann verschiedene Ursachen haben, wie z. B. Eine angeborene Fehlbildung oder die Entfernung einer Niere im frühen Kindesalter. In diesem Artikel werden wir uns mit dem Leben mit nur einer Niere befassen, die Auswirkungen auf die Gesundheit, die Behandlungsmöglichkeiten und die Lebensqualität von Betroffenen beleuchten.
Was passiert, wenn man nur eine Niere hat?
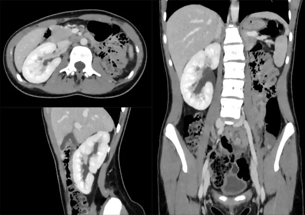
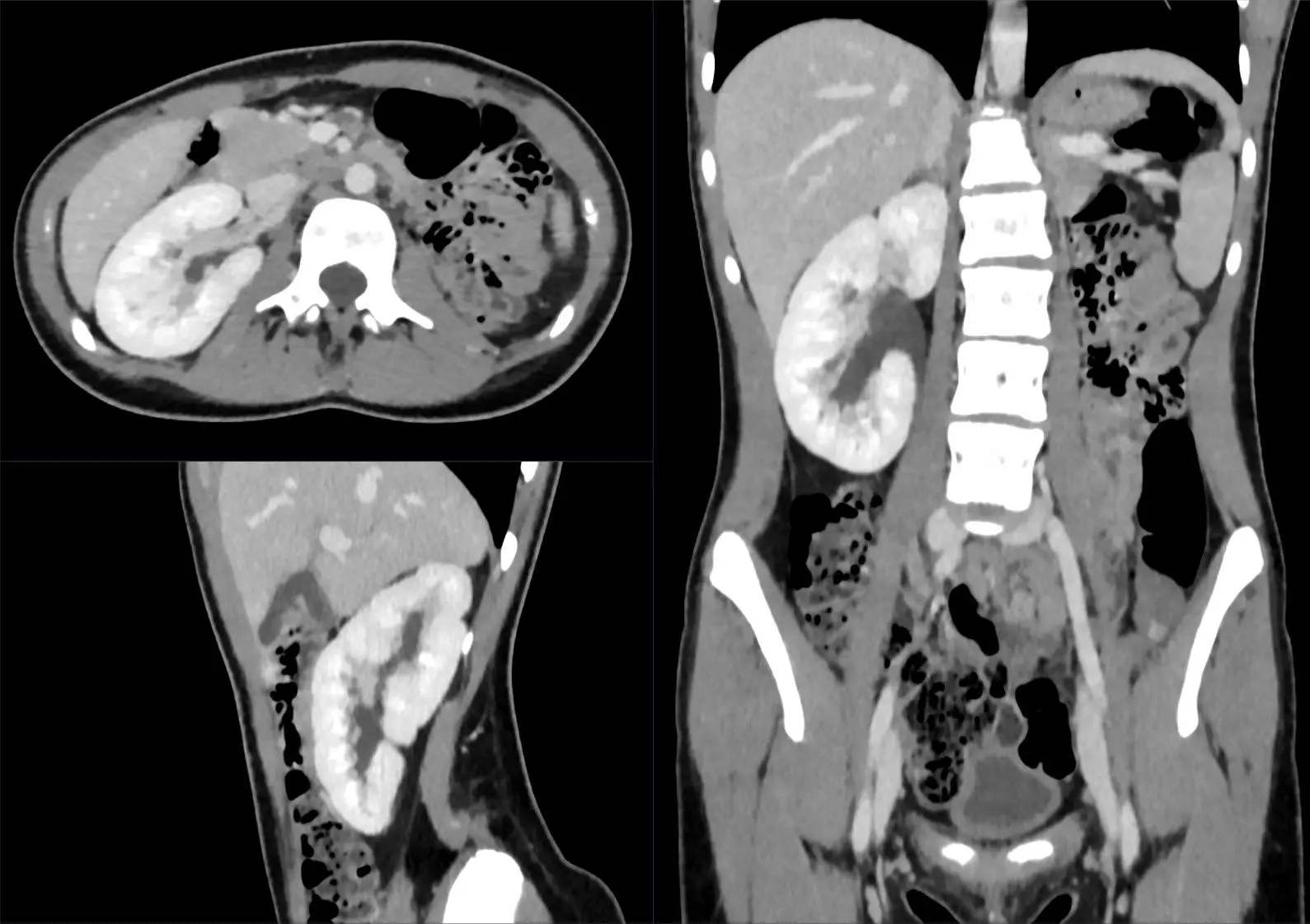
Die Nieren sind lebenswichtige Organe, die für die Entgiftung des Körpers, die Regulierung des Wasser- und Elektrolythaushalts sowie die Produktion von Hormonen verantwortlich sind. Obwohl wir zwei Nieren haben, kann eine einzelne Niere die Aufgaben beider Organe übernehmen. Die gesunde Niere wächst in der Regel größer und leistungsfähiger, um die fehlende Niere zu kompensieren.
In den meisten Fällen führt eine einseitige Nierenentwicklung nicht zu gesundheitlichen Problemen. Die meisten Menschen mit nur einer Niere leben ein völlig normales Leben und haben keine Einschränkungen in ihrer Lebensqualität. Es gibt jedoch einige wichtige Punkte zu beachten, um die Gesundheit der einzelnen Niere zu erhalten und mögliche Komplikationen zu vermeiden.

Mögliche Ursachen für eine einseitige Nierenentwicklung
Es gibt verschiedene Ursachen, warum ein Kind mit nur einer Niere geboren werden kann. Die häufigsten Ursachen sind:
- Angeborene Fehlbildungen: In einigen Fällen wird ein Kind mit einer fehlenden oder unterentwickelten Niere geboren. Diese Fehlbildungen können auf genetische Faktoren oder Umwelteinflüsse zurückzuführen sein.
- Entfernung einer Niere: Bei bestimmten Erkrankungen oder Verletzungen kann eine Niere im frühen Kindesalter entfernt werden.
Häufige Fehlbildungen der Nieren:
Es gibt verschiedene Arten von Nierenfehlbildungen, die zu einer einseitigen Nierenentwicklung führen können. Einige der häufigsten Fehlbildungen sind:
- Agenesie: Eine Niere fehlt vollständig.
- Hypoplasie: Eine Niere ist unterentwickelt und kleiner als normal.
- Dysplasie: Eine Niere ist missgebildet und funktioniert nicht richtig.
- Zyste: Eine flüssigkeitsgefüllte Blase in der Niere kann die Funktion beeinträchtigen.
Die Auswirkungen auf die Gesundheit
In den meisten Fällen haben Menschen mit nur einer Niere keine gesundheitlichen Probleme. Die einzelne Niere kann die Aufgaben beider Nieren übernehmen und den Körper normal entgiften. Es gibt jedoch einige potenzielle Risiken, die bei Menschen mit nur einer Niere auftreten können:

- Erhöhtes Risiko für Bluthochdruck: Die verbleibende Niere muss mehr arbeiten, um die Aufgaben beider Nieren zu übernehmen. Dies kann zu einem erhöhten Blutdruck führen.
- Erhöhtes Risiko für Nierenversagen: Obwohl die einzelne Niere in der Regel gut funktioniert, ist sie anfälliger für Schäden durch Krankheiten oder Verletzungen. Im Falle eines Nierenversagens ist die Situation kritischer, da keine zweite Niere zur Verfügung steht.
- Erhöhtes Risiko für Infektionen: Eine einzelne Niere kann anfälliger für Infektionen sein, da sie mehr Arbeit leisten muss.
Diagnose und Behandlung
Die Diagnose einer einseitigen Nierenentwicklung kann bereits während der Schwangerschaft oder kurz nach der Geburt gestellt werden. Eine Ultraschalluntersuchung des Bauches kann die Größe und Funktion der Nieren beurteilen.

Die Behandlung einer einseitigen Nierenentwicklung hängt von der Ursache und dem Schweregrad der Fehlbildung ab. In den meisten Fällen ist keine spezielle Behandlung erforderlich. Wichtig ist jedoch eine regelmäßige Kontrolle der Nierenfunktion und des Blutdrucks.
Leben mit nur einer Niere: Tipps für ein gesundes Leben
Menschen mit nur einer Niere können ein normales und erfülltes Leben führen. Es gibt jedoch einige Dinge, die sie tun können, um ihre Gesundheit zu erhalten und das Risiko für Komplikationen zu minimieren:
- Regelmäßige ärztliche Kontrolle: Regelmäßige Kontrollen bei einem Nephrologen (Nierenfacharzt) sind wichtig, um die Nierenfunktion zu überwachen und frühzeitig Probleme zu erkennen.
- Gesunde Ernährung: Eine gesunde Ernährung mit wenig Salz und tierischem Eiweiß kann die Nieren entlasten.
- Regelmäßige Bewegung: Regelmäßige Bewegung kann den Blutdruck senken und die Gesundheit der Nieren fördern.
- Verzicht auf Rauchen und Alkohol: Rauchen und Alkoholkonsum können die Nieren schädigen.
- Medikamenteneinnahme: Bei der Einnahme von Medikamenten ist es wichtig, mit dem Arzt zu sprechen, um sicherzustellen, dass sie die Nieren nicht belasten.
Kann ich mit nur einer Niere Sport treiben?
Ja, in den meisten Fällen ist Sport kein Problem für Menschen mit nur einer Niere. Die Niere ist tief im Körper eingebettet und hat ein geringeres Verletzungsrisiko als andere Organe. Es ist jedoch wichtig, dass Sie sich vor dem Sport mit Ihrem Arzt beraten, um sicherzustellen, dass es keine Einschränkungen gibt.
Muss ich eine spezielle Diät einhalten?
In der Regel ist keine spezielle Diät erforderlich. Es ist jedoch wichtig, eine gesunde Ernährung mit wenig Salz und tierischem Eiweiß zu bevorzugen, um die Nieren zu entlasten.
Kann ich Kinder bekommen?
Ja, Menschen mit nur einer Niere können in der Regel Kinder bekommen. Es ist jedoch wichtig, sich vor der Schwangerschaft mit Ihrem Arzt zu beraten, um sicherzustellen, dass die Niere die zusätzliche Belastung während der Schwangerschaft bewältigen kann.
Was passiert, wenn meine Niere versagt?
Wenn Ihre Niere versagt, müssen Sie eine Dialyse oder eine Nierentransplantation durchführen lassen. Die Dialyse reinigt das Blut künstlich, während bei einer Nierentransplantation eine gesunde Niere von einem Spender eingesetzt wird.
Fazit
Das Leben mit nur einer Niere ist in den meisten Fällen kein Grund zur Sorge. Die einzelne Niere kann die Aufgaben beider Nieren übernehmen und den Körper normal entgiften. Es ist jedoch wichtig, die Gesundheit der Niere durch regelmäßige Kontrollen und eine gesunde Lebensweise zu erhalten. Mit den richtigen Vorsichtsmaßnahmen können Menschen mit nur einer Niere ein normales und erfülltes Leben führen.
Wenn Sie andere Artikel kennenlernen möchten, die Leben mit nur einer niere: infos & tipps ähneln, können Sie die Kategorie Nieren gesundheit besuchen.
