Der Uterus arcuatus, auch bekannt als herzförmiger uterus, ist eine angeborene Gebärmutteranomalie, die bei etwa 5-10% der Frauen vorkommt. Bei dieser Anomalie ist die Gebärmutter nicht vollständig verwachsen und hat eine leicht herzförmige oder bogenförmige Form. Die genaue Ursache für den Uterus arcuatus ist nicht bekannt, aber es wird vermutet, dass er während der frühen Embryonalentwicklung auftritt, wenn sich die Müller-Gänge, die sich zur Gebärmutter entwickeln, nicht vollständig miteinander verbinden.
- Was bedeutet Arcuatus?
- Uterus Arcuatus und Schwangerschaft
- Diagnose eines Uterus Arcuatus
- Behandlung eines Uterus Arcuatus
-
- Kann man mit Uterus arcuatus schwanger werden?
- Kann ein Uterus arcuatus die Fruchtbarkeit beeinträchtigen?
- Was ist der Unterschied zwischen Uterus arcuatus und Uterus bicornis?
- Welche Komplikationen können bei einer Schwangerschaft mit Uterus arcuatus auftreten?
- Wie kann ich das Risiko von Komplikationen während der Schwangerschaft mit Uterus arcuatus reduzieren?
- Zusammenfassung
Was bedeutet Arcuatus?
Das Wort arcuatus kommt aus dem Lateinischen und bedeutet bogenförmig oder bogenförmig gewölbt. Dieser Begriff beschreibt die Form der Gebärmutter bei dieser Anomalie, die eine leichte Einbuchtung in der Gebärmutterwand aufweist, ähnlich einem Bogen.

Uterus Arcuatus und Schwangerschaft
Obwohl der Uterus arcuatus eine Gebärmutteranomalie ist, können viele Frauen mit dieser Anomalie trotzdem schwanger werden und gesunde Kinder zur Welt bringen. Allerdings kann es in einigen Fällen zu Komplikationen während der Schwangerschaft kommen, wie z.B.:
- Frühgeburt: Ein Uterus arcuatus kann die Gebärmutter schwächen und das Risiko einer Frühgeburt erhöhen.
- Plazenta praevia: Die Plazenta kann sich in der Gebärmutter tiefer einnisten als bei einer normalen Gebärmutter, was zu einer Plazenta praevia führen kann.
- Missed abortion: Ein Uterus arcuatus kann es erschweren, dass sich ein Embryo richtig in der Gebärmutter einnistet, was zu einem Missed Abortion führen kann.
- Geburtsfehler: Es gibt einige Hinweise darauf, dass ein Uterus arcuatus das Risiko für bestimmte Geburtsfehler erhöhen kann, aber diese Erkenntnisse sind noch nicht vollständig geklärt.
Es ist wichtig zu beachten, dass nicht alle Frauen mit einem Uterus arcuatus diese Komplikationen erleben. Viele Frauen haben eine normale Schwangerschaft und Geburt. Allerdings ist es wichtig, mit einem Arzt zu sprechen, wenn Sie eine Gebärmutteranomalie haben, um die möglichen Risiken und Vorteile der Schwangerschaft zu besprechen.
Diagnose eines Uterus Arcuatus
Ein Uterus arcuatus kann mit verschiedenen Verfahren diagnostiziert werden, darunter:
- Ultraschall: Ein Ultraschall ist eine einfache und nicht-invasive Methode, um die Form der Gebärmutter zu beurteilen.
- Hysteroskopie: Bei einer Hysteroskopie wird ein dünnes, flexibles Instrument mit einer Kamera in die Gebärmutter eingeführt, um die Form und die Größe der Gebärmutter zu betrachten.
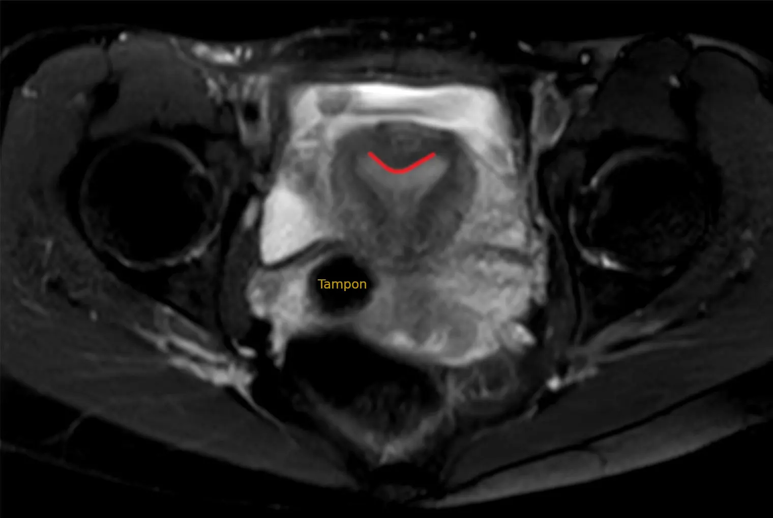
- Magnetresonanztomographie (MRT): Eine MRT kann detaillierte Bilder der Gebärmutter liefern und helfen, andere Gebärmutteranomalien auszuschließen.
Behandlung eines Uterus Arcuatus
Ein Uterus arcuatus wird in der Regel nicht behandelt, es sei denn, es treten Komplikationen während der Schwangerschaft auf. In einigen Fällen kann eine Operation erforderlich sein, um die Form der Gebärmutter zu korrigieren.
Kann man mit Uterus arcuatus schwanger werden?
Ja, viele Frauen mit einem Uterus arcuatus können schwanger werden und gesunde Kinder zur Welt bringen. Allerdings kann es in einigen Fällen zu Komplikationen während der Schwangerschaft kommen.
Kann ein Uterus arcuatus die Fruchtbarkeit beeinträchtigen?
Ein Uterus arcuatus kann die Fruchtbarkeit in einigen Fällen beeinträchtigen, aber nicht immer. Wenn Sie Schwierigkeiten haben, schwanger zu werden, sollten Sie mit Ihrem Arzt sprechen.
Was ist der Unterschied zwischen Uterus arcuatus und Uterus bicornis?
Uterus arcuatus und Uterus bicornis sind beides Gebärmutteranomalien, aber sie unterscheiden sich in der Schwere der Anomalie. Bei einem Uterus arcuatus ist die Gebärmutter nur leicht gebogen, während bei einem Uterus bicornis die Gebärmutter in zwei Hälften geteilt ist.

Welche Komplikationen können bei einer Schwangerschaft mit Uterus arcuatus auftreten?
Einige mögliche Komplikationen bei einer Schwangerschaft mit Uterus arcuatus sind Frühgeburt, Plazenta praevia, Missed Abortion und Geburtsfehler.
Wie kann ich das Risiko von Komplikationen während der Schwangerschaft mit Uterus arcuatus reduzieren?
Es gibt einige Dinge, die Sie tun können, um das Risiko von Komplikationen während der Schwangerschaft mit Uterus arcuatus zu reduzieren, wie z.B. Eine gesunde Lebensweise, regelmäßige Vorsorgeuntersuchungen und enge Zusammenarbeit mit Ihrem Arzt.
Zusammenfassung
Ein Uterus arcuatus ist eine häufige Gebärmutteranomalie, die in der Regel keine Auswirkungen auf die Fruchtbarkeit hat. Allerdings kann es in einigen Fällen zu Komplikationen während der Schwangerschaft kommen. Wenn Sie eine Gebärmutteranomalie haben, ist es wichtig, mit Ihrem Arzt zu sprechen, um die möglichen Risiken und Vorteile der Schwangerschaft zu besprechen.
Es ist wichtig zu beachten, dass diese Informationen nur zu Bildungszwecken dienen und keinen medizinischen Rat ersetzen. Wenn Sie Fragen oder Bedenken haben, sollten Sie sich an Ihren Arzt wenden.
Wenn Sie andere Artikel kennenlernen möchten, die Uterus arcuatus: herzförmige gebärmutter & schwangerschaft ähneln, können Sie die Kategorie Gebärmutteranomalie besuchen.
