Die Geburt eines Kindes ist ein wunderschönes Ereignis, das jedoch auch körperliche Veränderungen und Herausforderungen mit sich bringen kann. Für viele Frauen gehören diese Veränderungen zu den natürlichen Folgen der Schwangerschaft und Geburt. Doch manche Frauen erleben nach der Geburt Probleme mit dem Schließmuskel, die ihre Lebensqualität beeinträchtigen können. Diese Probleme können sich auf die Blase, den Darm oder beides auswirken und zu Inkontinenz führen.
- Was ist Inkontinenz?
- Ursachen für Probleme mit dem Schließmuskel nach der Geburt
- Symptome von Problemen mit dem Schließmuskel nach der Geburt
- Diagnose von Problemen mit dem Schließmuskel nach der Geburt
- Behandlung von Problemen mit dem Schließmuskel nach der Geburt
- Tipps zur Vorbeugung von Problemen mit dem Schließmuskel nach der Geburt
- Schlussfolgerung
Was ist Inkontinenz?
Inkontinenz ist der unwillkürliche Verlust von Urin oder Stuhl. Sie kann verschiedene Ursachen haben, darunter Schwangerschaft und Geburt. Bei Inkontinenz funktioniert der Schließmuskel nicht mehr richtig. Er kann den Urin oder den Stuhl nicht mehr vollständig zurückhalten. Es gibt verschiedene Arten von Inkontinenz:
Arten von Inkontinenz
- Stressinkontinenz: Diese Form der Inkontinenz tritt auf, wenn der Schließmuskel bei körperlicher Belastung, wie z. B. Husten, Niesen, Lachen oder Sport, nicht mehr richtig funktioniert. Dies führt zum unwillkürlichen Abgang von Urin.
- Dranginkontinenz: Bei dieser Form der Inkontinenz verspürt die Frau einen starken Harndrang, der sie dazu zwingt, sofort auf die Toilette zu gehen. Oftmals kann sie den Harndrang nicht mehr kontrollieren und verliert Urin.
- Überlaufinkontinenz: Diese Form der Inkontinenz tritt auf, wenn die Blase nicht vollständig entleert werden kann und sich der Urin in der Blase staut. Dies kann zu einem unwillkürlichen Abgang von Urin führen.
- Mischinkontinenz: Diese Form der Inkontinenz ist eine Kombination aus Stressinkontinenz und Dranginkontinenz.
- Stuhlinkontinenz: Diese Form der Inkontinenz betrifft den Darm und führt zum unwillkürlichen Abgang von Stuhl.
Inkontinenz nach der Geburt ist ein häufiges Problem. Die meisten Frauen erleben nach der Geburt zumindest vorübergehend leichte Inkontinenz. Dies liegt daran, dass die Beckenbodenmuskulatur, die für die Kontrolle von Blase und Darm zuständig ist, während der Schwangerschaft und Geburt stark beansprucht wird. Die Muskeln können geschwächt oder überdehnt sein.
Ursachen für Probleme mit dem Schließmuskel nach der Geburt
Es gibt verschiedene Ursachen für Probleme mit dem Schließmuskel nach der Geburt. Die häufigsten Ursachen sind:
- Schwangerschaft und Geburt: Die Schwangerschaft und Geburt belasten den Beckenboden stark. Das wachsende Baby drückt auf die Blase und den Darm, und die Geburt selbst kann die Beckenbodenmuskulatur überdehnen oder schädigen.
- Dammriss oder Episiotomie: Ein Dammriss oder eine Episiotomie, die während der Geburt durchgeführt wird, können die Beckenbodenmuskulatur schädigen und zu Inkontinenz führen.
- Zangengeburt oder Kaiserschnitt: Auch eine Zangengeburt oder ein Kaiserschnitt können die Beckenbodenmuskulatur schädigen.
- Hohes Geburtsgewicht: Ein hohes Geburtsgewicht des Babys kann den Beckenboden stärker belasten und das Risiko für Inkontinenz erhöhen.
- Mehrlingsschwangerschaft: Eine Mehrlingsschwangerschaft belastet den Beckenboden stärker als eine Einlingsschwangerschaft.
- Alter: Je älter eine Frau ist, desto höher ist das Risiko für Inkontinenz.
- Genetische Veranlagung: Auch die genetische Veranlagung spielt eine Rolle.
- Übergewicht: Übergewicht belastet den Beckenboden zusätzlich.
- Rauchen: Rauchen kann die Durchblutung des Beckenbodens beeinträchtigen und das Risiko für Inkontinenz erhöhen.
- Chronische Husten: Chronischer Husten kann den Beckenboden stark belasten und zu Inkontinenz führen.
Symptome von Problemen mit dem Schließmuskel nach der Geburt
Die Symptome von Problemen mit dem Schließmuskel nach der Geburt können je nach Art der Inkontinenz unterschiedlich sein. Einige häufige Symptome sind:
- Unwillkürlicher Abgang von Urin: Dies kann beim Husten, Niesen, Lachen, Sport oder beim Anheben schwerer Gegenstände auftreten.
- Häufiger Harndrang: Die Frau muss häufiger auf die Toilette gehen als üblich.
- Dranginkontinenz: Die Frau verspürt einen starken Harndrang, den sie nicht mehr kontrollieren kann.
- Unwillkürlicher Abgang von Stuhl: Dies kann beim Husten, Niesen oder beim Anheben schwerer Gegenstände auftreten.
- Verstopfung: Die Frau hat Probleme mit dem Stuhlgang.
- Schmerzen im Beckenboden: Die Frau verspürt Schmerzen im Beckenboden, insbesondere beim Sitzen oder Stehen.
Diagnose von Problemen mit dem Schließmuskel nach der Geburt
Wenn Sie Probleme mit dem Schließmuskel nach der Geburt haben, sollten Sie sich von einem Arzt oder einer Ärztin untersuchen lassen. Der Arzt oder die Ärztin wird Sie nach Ihrer Krankengeschichte befragen und eine körperliche Untersuchung durchführen.
Die körperliche Untersuchung umfasst in der Regel eine Inspektion des Beckenbodens und eine Überprüfung der Stärke der Beckenbodenmuskulatur. Es können auch weitere Untersuchungen durchgeführt werden, um die Ursache der Inkontinenz zu ermitteln. Diese Untersuchungen können Folgendes umfassen:

- Harnblasentagebuch: Sie führen ein Tagebuch, in dem Sie Ihre Trinkgewohnheiten, die Häufigkeit des Wasserlassens und die Menge des verlorenen Urins festhalten.
- Harnblasenspiegelung: Diese Untersuchung dient zur Beurteilung der Blasenfunktion und der Harnröhre.
- Urodynamische Untersuchung: Diese Untersuchung misst den Druck in der Blase und den Harnfluss, um die Funktion der Blase und des Schließmuskels zu beurteilen.
- Rektale Untersuchung: Diese Untersuchung dient zur Beurteilung des Beckenbodens und der Stärke der Beckenbodenmuskulatur.
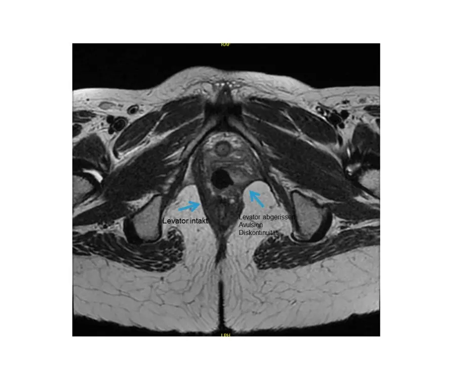
- Magnetresonanztomographie (MRT): Diese Untersuchung kann zur Beurteilung der Struktur des Beckenbodens eingesetzt werden.
Behandlung von Problemen mit dem Schließmuskel nach der Geburt
Die Behandlung von Problemen mit dem Schließmuskel nach der Geburt hängt von der Ursache und der Schwere der Inkontinenz ab. Es gibt verschiedene Behandlungsmöglichkeiten, die allein oder in Kombination eingesetzt werden können.
Konservative Behandlung
Die konservative Behandlung umfasst Maßnahmen, die ohne Operation durchgeführt werden. Diese Maßnahmen können Folgendes umfassen:
- Beckenbodentraining: Beckenbodentraining ist eine effektive Methode zur Stärkung der Beckenbodenmuskulatur. Mit regelmäßigem Training können Sie die Kontrolle über Ihre Blase und Ihren Darm verbessern.
- Elektrostimulation: Bei der Elektrostimulation werden elektrische Impulse verwendet, um die Beckenbodenmuskulatur zu stimulieren und zu stärken.
- Biofeedback: Biofeedback ist eine Technik, mit der Sie lernen, Ihre Beckenbodenmuskulatur bewusst anzuspannen und zu entspannen.
- Medikamente: In einigen Fällen können Medikamente eingesetzt werden, um die Symptome der Inkontinenz zu lindern.
- Gewichtsabnahme: Übergewicht belastet den Beckenboden zusätzlich. Eine Gewichtsabnahme kann die Symptome der Inkontinenz verbessern.
- Verhaltenstherapie: Verhaltenstherapie kann Ihnen helfen, Ihre Blasenfunktion zu verbessern und Ihre Inkontinenz zu kontrollieren.
Operative Behandlung
In einigen Fällen kann eine operative Behandlung erforderlich sein, um die Inkontinenz zu beheben. Die operative Behandlung kann Folgendes umfassen:
- Harnröhren-Schließmuskel-Operation: Bei dieser Operation wird der Schließmuskel der Harnröhre verstärkt oder neu positioniert, um die Inkontinenz zu beheben.
- Beckenboden-Schließmuskel-Operation: Bei dieser Operation wird die Beckenbodenmuskulatur verstärkt oder neu positioniert, um die Inkontinenz zu beheben.
- Blasenhals-Operation: Bei dieser Operation wird der Blasenhals gestrafft, um die Inkontinenz zu beheben.
Tipps zur Vorbeugung von Problemen mit dem Schließmuskel nach der Geburt
Es gibt verschiedene Maßnahmen, die Sie ergreifen können, um das Risiko für Probleme mit dem Schließmuskel nach der Geburt zu senken. Diese Maßnahmen können Folgendes umfassen:
- Beckenbodentraining: Beginnen Sie mit Beckenbodentraining bereits während der Schwangerschaft. Dies hilft, die Beckenbodenmuskulatur zu stärken und auf die Geburt vorzubereiten.
- Gesundes Gewicht: Achten Sie während der Schwangerschaft auf ein gesundes Gewicht. Übergewicht belastet den Beckenboden zusätzlich.
- Vermeiden Sie Rauchen: Rauchen kann die Durchblutung des Beckenbodens beeinträchtigen und das Risiko für Inkontinenz erhöhen.
- Vermeiden Sie starkes Pressen beim Stuhlgang: Verstopfung kann den Beckenboden stark belasten. Achten Sie auf eine ballaststoffreiche Ernährung und trinken Sie ausreichend Flüssigkeit, um Verstopfung vorzubeugen.
- Regelmäßige Bewegung: Regelmäßige Bewegung kann die Beckenbodenmuskulatur stärken.
- Frühzeitige Behandlung von Husten: Behandeln Sie Husten frühzeitig, um den Beckenboden nicht zu stark zu belasten.
Wie lange dauert es, bis sich der Beckenboden nach der Geburt erholt?
Die Erholung des Beckenbodens nach der Geburt kann mehrere Monate bis zu einem Jahr dauern. Die Geschwindigkeit der Erholung hängt von verschiedenen Faktoren ab, wie z. B. Dem Schweregrad der Geburt, dem Geburtsgewicht des Babys und der allgemeinen Gesundheit der Frau.
Ist Inkontinenz nach der Geburt immer dauerhaft?
Nein, Inkontinenz nach der Geburt ist nicht immer dauerhaft. Die meisten Frauen erleben nur vorübergehende Inkontinenz, die sich mit der Zeit von selbst bessert. Wenn die Inkontinenz jedoch länger anhält oder sich verschlimmert, sollten Sie sich von einem Arzt oder einer Ärztin untersuchen lassen.
Was kann ich tun, um die Inkontinenz zu lindern?
Es gibt verschiedene Maßnahmen, die Sie ergreifen können, um die Inkontinenz zu lindern. Dazu gehören Beckenbodentraining, Gewichtsabnahme, Verhaltenstherapie und Medikamente.
Wann sollte ich zum Arzt gehen?
Wenn Sie Probleme mit dem Schließmuskel nach der Geburt haben, sollten Sie sich von einem Arzt oder einer Ärztin untersuchen lassen. Dies ist besonders wichtig, wenn die Inkontinenz länger anhält oder sich verschlimmert.
Schlussfolgerung
Probleme mit dem Schließmuskel nach der Geburt sind ein häufiges Problem, das die Lebensqualität vieler Frauen beeinträchtigen kann. Es ist wichtig, sich frühzeitig von einem Arzt oder einer Ärztin untersuchen zu lassen, um die Ursache der Inkontinenz zu ermitteln und die richtige Behandlung zu erhalten. Mit den richtigen Maßnahmen können Sie die Inkontinenz lindern und Ihre Lebensqualität verbessern.
Wenn Sie andere Artikel kennenlernen möchten, die Beckenbodenprobleme nach geburt: inkontinenz behandeln ähneln, können Sie die Kategorie Beckenbodenprobleme besuchen.
