Die Schwangerschaft ist eine wunderschöne und herausfordernde Zeit im Leben einer Frau. Während dieser Zeit treten viele körperliche Veränderungen auf, die sowohl normal als auch manchmal beunruhigend sein können. Eine solche Veränderung betrifft die Portioektopie, ein Zustand, der bei vielen Frauen auftritt, aber in der Schwangerschaft besondere Aufmerksamkeit erfordert.
In diesem Artikel werden wir uns eingehend mit der Portioektopie befassen, ihren Ursachen, Symptomen, Behandlungsmöglichkeiten und insbesondere ihrer Bedeutung während der Schwangerschaft. Wir werden die möglichen Auswirkungen auf die Schwangerschaft und die Sicherheit von Behandlungsmethoden während dieser Zeit erläutern.
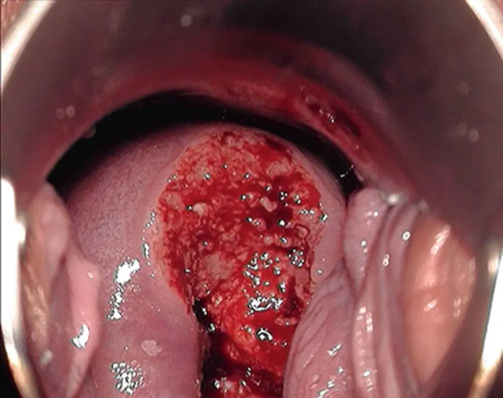
Was ist Portioektopie?
Die Portioektopie ist eine häufige Veränderung am Gebärmutterhals, die bei etwa 70% der Frauen während der Geschlechtsreife auftritt. Sie entsteht durch eine Ausstülpung der Schleimhaut des Gebärmutterhalskanals auf den äußeren Muttermund. Diese Ausstülpung, auch als Zervixektopie bezeichnet, führt zu einer Veränderung des Gewebes am Muttermund.
Normalerweise ist der Gebärmutterhals von einem speziellen Schleimhauttyp bedeckt, der Zervixschleimhaut. Bei einer Portioektopie wird dieser Schleimhauttyp durch ein anderes Gewebe ersetzt, das Endometrium, das normalerweise die Gebärmutterhöhle auskleidet. Diese Veränderung kann zu verschiedenen Symptomen führen, ist aber in den meisten Fällen harmlos.
Symptome einer Portioektopie
Viele Frauen mit Portioektopie haben keine Symptome. Wenn Symptome auftreten, sind sie meist mild und können Folgendes umfassen:
- Verstärkter Ausfluss
- Zwischenblutungen
- Schmerzen beim Geschlechtsverkehr
Es ist wichtig zu beachten, dass diese Symptome auch auf andere Erkrankungen hinweisen können und eine ärztliche Abklärung erforderlich ist.

Ursachen einer Portioektopie
Die genaue Ursache einer Portioektopie ist nicht vollständig geklärt. Es wird vermutet, dass hormonelle Veränderungen, insbesondere während der Pubertät und der Schwangerschaft, eine Rolle spielen. Auch Infektionen mit humanen Papillomaviren (HPV) können zur Entwicklung einer Portioektopie beitragen.
Portioektopie und Schwangerschaft
Während der Schwangerschaft kann eine Portioektopie zu einigen Besonderheiten führen. Die hormonellen Veränderungen während der Schwangerschaft können die Portioektopie verstärken und zu vermehrtem Ausfluss oder Blutungen führen. In den meisten Fällen ist die Portioektopie jedoch keine Gefahr für die Schwangerschaft und das Ungeborene.
Es ist jedoch wichtig zu beachten, dass eine Portioektopie das Risiko für bestimmte Komplikationen erhöhen kann, wie z. B. Frühgeburten oder vorzeitigen Blasensprung. Daher ist es wichtig, dass Schwangere mit einer Portioektopie engmaschig von einem Gynäkologen überwacht werden.
Diagnose einer Portioektopie
Eine Portioektopie kann durch eine gynäkologische Untersuchung festgestellt werden. Der Arzt wird den Muttermund mit einem Spiegel untersuchen und bei Bedarf eine Probe des Gewebes entnehmen (Biopsie). Die Biopsie wird unter dem Mikroskop untersucht, um die Art des Gewebes zu bestimmen und eine Portioektopie zu bestätigen.
Behandlung einer Portioektopie
In den meisten Fällen ist eine Behandlung der Portioektopie nicht notwendig. Wenn die Portioektopie jedoch Symptome verursacht oder das Risiko für Komplikationen erhöht, kann eine Behandlung in Erwägung gezogen werden.
Die Behandlungsmöglichkeiten für eine Portioektopie umfassen:
- Abwarten und Beobachten: In vielen Fällen kann die Portioektopie von selbst verschwinden, insbesondere nach der Schwangerschaft.
- Medikamente: In einigen Fällen können Medikamente wie Antibiotika oder Antimykotika zur Behandlung von Infektionen eingesetzt werden, die zu Symptomen führen können.
- Verätzung: Bei dieser Methode wird die betroffene Schleimhaut mit einer Säure oder einem anderen chemischen Stoff verätzt.
- Verschorfung: Eine andere Möglichkeit ist die Verschorfung des Gewebes mit einem elektrischen Strom oder einem Laser.
- Operation: In seltenen Fällen kann eine Operation zur Entfernung des betroffenen Gewebes notwendig sein.
Die Wahl der Behandlung hängt von den individuellen Symptomen und dem Schweregrad der Portioektopie ab. Es ist wichtig, die Risiken und Vorteile der verschiedenen Behandlungsmöglichkeiten mit dem Arzt zu besprechen.
Portioektopie Behandlung während der Schwangerschaft
Die Behandlung einer Portioektopie während der Schwangerschaft ist besonders wichtig. Einige Behandlungsmethoden, wie z. B. Verätzung oder Verschorfung, können während der Schwangerschaft nicht angewendet werden, da sie das Ungeborene schädigen können.
In den meisten Fällen wird die Portioektopie während der Schwangerschaft zunächst beobachtet. Wenn die Portioektopie Symptome verursacht oder das Risiko für Komplikationen erhöht, kann eine Behandlung mit Medikamenten in Erwägung gezogen werden.
Es ist wichtig, dass Schwangere mit einer Portioektopie engmaschig von einem Gynäkologen überwacht werden, um die Schwangerschaft zu kontrollieren und Komplikationen frühzeitig zu erkennen.
Portioektopie und HPV
Es ist wichtig zu beachten, dass eine Portioektopie das Risiko für eine Infektion mit humanen Papillomaviren (HPV) erhöhen kann. HPV-Infektionen können zu Gebärmutterhalskrebs führen. Daher ist es wichtig, dass Frauen mit einer Portioektopie regelmäßige Vorsorgeuntersuchungen bei ihrem Gynäkologen durchführen lassen, um das Risiko für Gebärmutterhalskrebs frühzeitig zu erkennen.
Häufig gestellte Fragen
Kann eine Portioektopie zu Unfruchtbarkeit führen?
Eine Portioektopie führt in der Regel nicht zu Unfruchtbarkeit. Es ist jedoch möglich, dass eine Portioektopie zu einer verringerten Spermienmobilität führt, was die Empfängnis erschweren kann. In den meisten Fällen ist eine Portioektopie jedoch keine Ursache für Unfruchtbarkeit.
Kann eine Portioektopie während der Schwangerschaft verschwinden?
Ja, eine Portioektopie kann während der Schwangerschaft von selbst verschwinden. Die hormonellen Veränderungen während der Schwangerschaft können dazu führen, dass sich das Gewebe am Muttermund wieder normalisiert.
Ist eine Portioektopie ansteckend?
Nein, eine Portioektopie ist nicht ansteckend.
Was kann ich tun, um das Risiko für eine Portioektopie zu verringern?
Es gibt keine bewährten Methoden, um das Risiko für eine Portioektopie zu verringern. Es wird jedoch empfohlen, ein gesundes Leben zu führen, regelmäßige Vorsorgeuntersuchungen beim Gynäkologen durchführen zu lassen und sich gegen HPV impfen zu lassen.

Zusammenfassung
Die Portioektopie ist eine häufige Veränderung am Gebärmutterhals, die in den meisten Fällen harmlos ist. Während der Schwangerschaft kann eine Portioektopie zu einigen Besonderheiten führen, ist aber in der Regel keine Gefahr für die Schwangerschaft und das Ungeborene. Es ist jedoch wichtig, dass Schwangere mit einer Portioektopie engmaschig von einem Gynäkologen überwacht werden, um die Schwangerschaft zu kontrollieren und Komplikationen frühzeitig zu erkennen.
Wenn Sie Fragen oder Bedenken bezüglich einer Portioektopie haben, sprechen Sie bitte mit Ihrem Arzt. Er kann Ihnen die bestmögliche Beratung und Behandlung anbieten.
Wenn Sie andere Artikel kennenlernen möchten, die Portioektopie in der schwangerschaft: infos & tipps ähneln, können Sie die Kategorie Gebärmutterhals besuchen.
