Ein zu kurzes Lippenbändchen, auch bekannt als Ankyloglossie, ist ein häufiges Problem, das Säuglinge, Kinder und Erwachsene betreffen kann. Es kann verschiedene Symptome verursachen, von Schwierigkeiten beim Stillen bis hin zu Zahnproblemen und Sprachstörungen. In diesem Artikel erfahren Sie alles, was Sie über ein zu kurzes Lippenbändchen wissen müssen, einschließlich der Ursachen, Symptome, Diagnose und Behandlungsmöglichkeiten.
Was ist ein Lippenbändchen und wie funktioniert es?
Das Lippenbändchen ist ein kleines, dünnes Stück Gewebe, das die Innenseite der Oberlippe mit dem Zahnfleisch verbindet. Es hilft, die Lippe in Position zu halten und die Beweglichkeit des Mundes zu kontrollieren. Bei einem zu kurzen Lippenbändchen ist das Gewebe zu stramm oder zu kurz, was die Beweglichkeit der Lippe einschränkt.
Ursachen für ein zu kurzes Lippenbändchen
Die genaue Ursache für ein zu kurzes Lippenbändchen ist nicht immer klar. Es wird vermutet, dass es sich um eine genetische Veranlagung handelt, die dazu führt, dass das Gewebe im Mutterleib nicht richtig wächst. In einigen Fällen kann es auch durch eine Verletzung während der Geburt entstehen.
Symptome eines zu kurzen Lippenbändchens
Die Symptome eines zu kurzen Lippenbändchens können je nach Alter und Schweregrad variieren. Häufige Symptome sind:
- Schwierigkeiten beim Stillen: Das Baby kann kein Vakuum erzeugen und hat Probleme, an der Brustwarze zu saugen.
- Schwierigkeiten beim Sprechen: Das Kind kann undeutlich sprechen oder lispeln.
- Schwierigkeiten beim Essen: Das Kind kann Probleme haben, feste Nahrung zu kauen und zu essen.
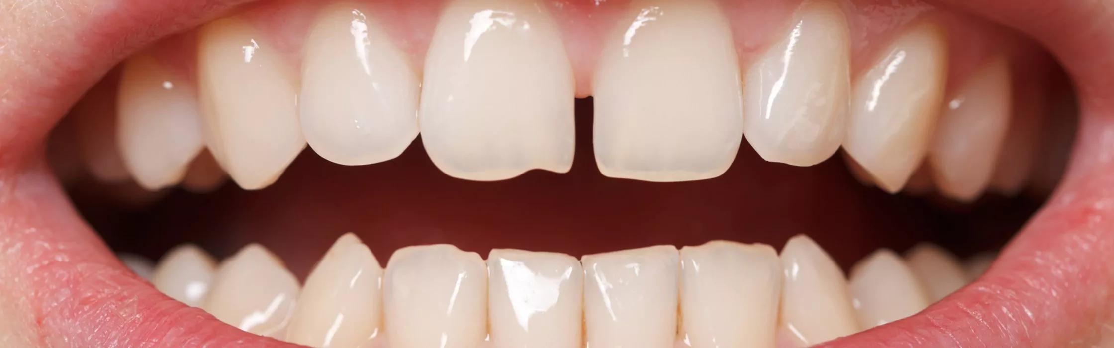
- Zahnprobleme: Ein zu kurzes Lippenbändchen kann zu einer Lücke zwischen den oberen Schneidezähnen führen, da das Bändchen an den Zähnen zieht. Es kann auch zu Zahnfleischrückgang und Parodontitis führen.
- Schmerz beim Lächeln oder Sprechen: Das Bändchen kann sich bei bestimmten Bewegungen spannen und Schmerzen verursachen.
Diagnose eines zu kurzen Lippenbändchens
Ein zu kurzes Lippenbändchen kann in der Regel durch eine einfache körperliche Untersuchung festgestellt werden. Der Arzt wird die Lippe und das Bändchen untersuchen und die Beweglichkeit der Lippe beurteilen. In einigen Fällen kann ein Röntgenbild erforderlich sein, um die genaue Position des Bändchens zu bestimmen.
Wenn Sie vermuten, dass Ihr Kind ein zu kurzes Lippenbändchen hat, sollten Sie einen Arzt oder Zahnarzt konsultieren.
Behandlung eines zu kurzen Lippenbändchens
Die Behandlung eines zu kurzen Lippenbändchens hängt von den Symptomen und dem Alter des Patienten ab. In einigen Fällen kann eine konservative Behandlung mit Dehnübungen ausreichen. Bei stärkeren Symptomen ist jedoch meist ein operativer Eingriff notwendig.
Konservative Behandlung
Dehnübungen können dazu beitragen, die Beweglichkeit der Lippe zu verbessern und die Symptome zu lindern. Diese Übungen sollten jedoch nur unter Anleitung eines Arztes oder Physiotherapeuten durchgeführt werden, da eine falsche Ausführung zu weiteren Problemen führen kann.
Operativer Eingriff
Der operative Eingriff zur Behandlung eines zu kurzen Lippenbändchens wird als Frenotomie bezeichnet. Dabei wird das Bändchen mit einem Skalpell oder Laser durchtrennt. Der Eingriff ist in der Regel ambulant und wird unter örtlicher Betäubung durchgeführt.

Nach dem Eingriff können leichte Schmerzen und Schwellungen auftreten, die jedoch in der Regel innerhalb weniger Tage abklingen. Es ist wichtig, die Anweisungen des Arztes bezüglich der Nachsorge zu befolgen, um eine schnelle und vollständige Heilung zu gewährleisten.
Häufig gestellte Fragen
Ist ein zu kurzes Lippenbändchen gefährlich?
Ein zu kurzes Lippenbändchen ist in der Regel nicht gefährlich, kann aber zu verschiedenen Problemen führen. Es ist wichtig, die Symptome ernst zu nehmen und einen Arzt zu konsultieren, um die richtige Behandlung zu erhalten.
Wann sollte ein zu kurzes Lippenbändchen behandelt werden?
Die Behandlung eines zu kurzen Lippenbändchens sollte so früh wie möglich erfolgen, um die Entwicklung des Kindes nicht zu beeinträchtigen. Bei Säuglingen kann ein zu kurzes Lippenbändchen bereits zu Stillproblemen führen. Bei älteren Kindern kann es zu Sprach- oder Zahnproblemen führen.
Wie lange dauert die Heilung nach einer Frenotomie?
Die Heilung nach einer Frenotomie dauert in der Regel wenige Tage. Die meisten Patienten können nach ein paar Tagen wieder normal essen und sprechen.
Welche Kosten entstehen bei einer Frenotomie?
Die Kosten für eine Frenotomie können je nach Arzt und Region variieren. In der Regel werden die Kosten von den Krankenkassen übernommen.
Fazit
Ein zu kurzes Lippenbändchen ist ein häufiges Problem, das viele Menschen betrifft. Es kann zu verschiedenen Symptomen führen, von Schwierigkeiten beim Stillen bis hin zu Zahnproblemen und Sprachstörungen. Die Behandlung hängt von den Symptomen und dem Alter des Patienten ab. In vielen Fällen ist ein operativer Eingriff notwendig, um das Bändchen durchzutrennen.
Wenn Sie vermuten, dass Sie oder Ihr Kind ein zu kurzes Lippenbändchen haben, sollten Sie einen Arzt oder Zahnarzt konsultieren.
Wenn Sie andere Artikel kennenlernen möchten, die Lippenbändchen zu kurz: symptome & behandlung ähneln, können Sie die Kategorie Lippenbändchen besuchen.
