Kavernome sind Gefäßmissbildungen, die aus irregulären kleinen Gefäßkammern bestehen. Sie können in verschiedenen Teilen des Körpers auftreten, aber am häufigsten sind sie im Gehirn und Rückenmark zu finden. In diesem Artikel werden wir uns auf zerebrale Kavernome konzentrieren, also Kavernome im Gehirn. Sie sind eine relativ häufige Erkrankung, die viele Menschen betrifft, ohne dass sie es überhaupt bemerken.
Was sind Kavernome?
Kavernome sind gutartige Gefäßmissbildungen, die aus einem Geflecht von abnormalen Blutgefäßen bestehen. Sie sind mit einem Schwamm vergleichbar, der mit Blut gefüllt ist. Die Gefäßwände dieser Kavernome sind dünn und brüchig, was sie anfällig für Blutungen macht.
Obwohl Kavernome in der Regel nicht bösartig sind, können sie dennoch schwere Komplikationen verursachen, insbesondere wenn sie im Gehirn auftreten. Hier erfahren Sie mehr über die Ursachen, Symptome und Behandlungsmöglichkeiten von zerebralen Kavernomen.

Ursachen von Kavernomen
Die genaue Ursache von Kavernomen ist nicht vollständig geklärt. Man geht davon aus, dass sie entweder angeboren sind oder sich im Laufe des Lebens entwickeln. Es gibt jedoch einige Faktoren, die das Risiko für die Entwicklung von Kavernomen erhöhen können, darunter:
- Genetik: Kavernome können familiär gehäuft auftreten. Wenn ein Familienmitglied ein Kavernom hat, ist das Risiko für andere Familienmitglieder, ebenfalls ein Kavernom zu entwickeln, erhöht.
- Mutationen in bestimmten Genen: Einige genetische Mutationen können das Risiko für die Entwicklung von Kavernomen erhöhen.
- Umweltfaktoren: Es wird vermutet, dass auch Umweltfaktoren wie Strahlung oder bestimmte Chemikalien eine Rolle bei der Entstehung von Kavernomen spielen könnten.
Symptome von Kavernomen
Viele Kavernome verursachen keine Symptome und werden erst bei einer Routineuntersuchung oder bei einer anderen medizinischen Untersuchung entdeckt. Wenn Symptome auftreten, können sie sehr unterschiedlich sein, abhängig von der Größe, Lage und Aktivität des Kavernoms.
Zu den häufigsten Symptomen von zerebralen Kavernomen gehören:
- Epilepsie: Krampfanfälle sind ein häufiges Symptom von Kavernomen, insbesondere wenn sie in der Nähe der Hirnrinde, dem Teil des Gehirns, der für die Steuerung von Bewegungen und Gedanken verantwortlich ist, liegen.
- Kopfschmerzen: Kavernome können auch Kopfschmerzen verursachen, die von leicht bis stark reichen können.
- Neurologische Defizite: Ein Kavernom kann auch neurologische Defizite wie Schwäche, Taubheit oder Lähmungen, Sehstörungen oder Sprachstörungen verursachen. Diese Symptome treten meist auf, wenn das Kavernom in einem Bereich des Gehirns liegt, der für diese Funktionen verantwortlich ist.
- Hirnblutung: In einigen Fällen kann ein Kavernom zu einer Hirnblutung führen, die schwere neurologische Schäden verursachen kann. Das Risiko für eine Hirnblutung ist bei Kavernomen im Hirnstamm, dem Bereich des Gehirns, der für die Steuerung der Atmung, des Herzschlags und anderer lebenswichtiger Funktionen verantwortlich ist, erhöht.
Diagnose von Kavernomen
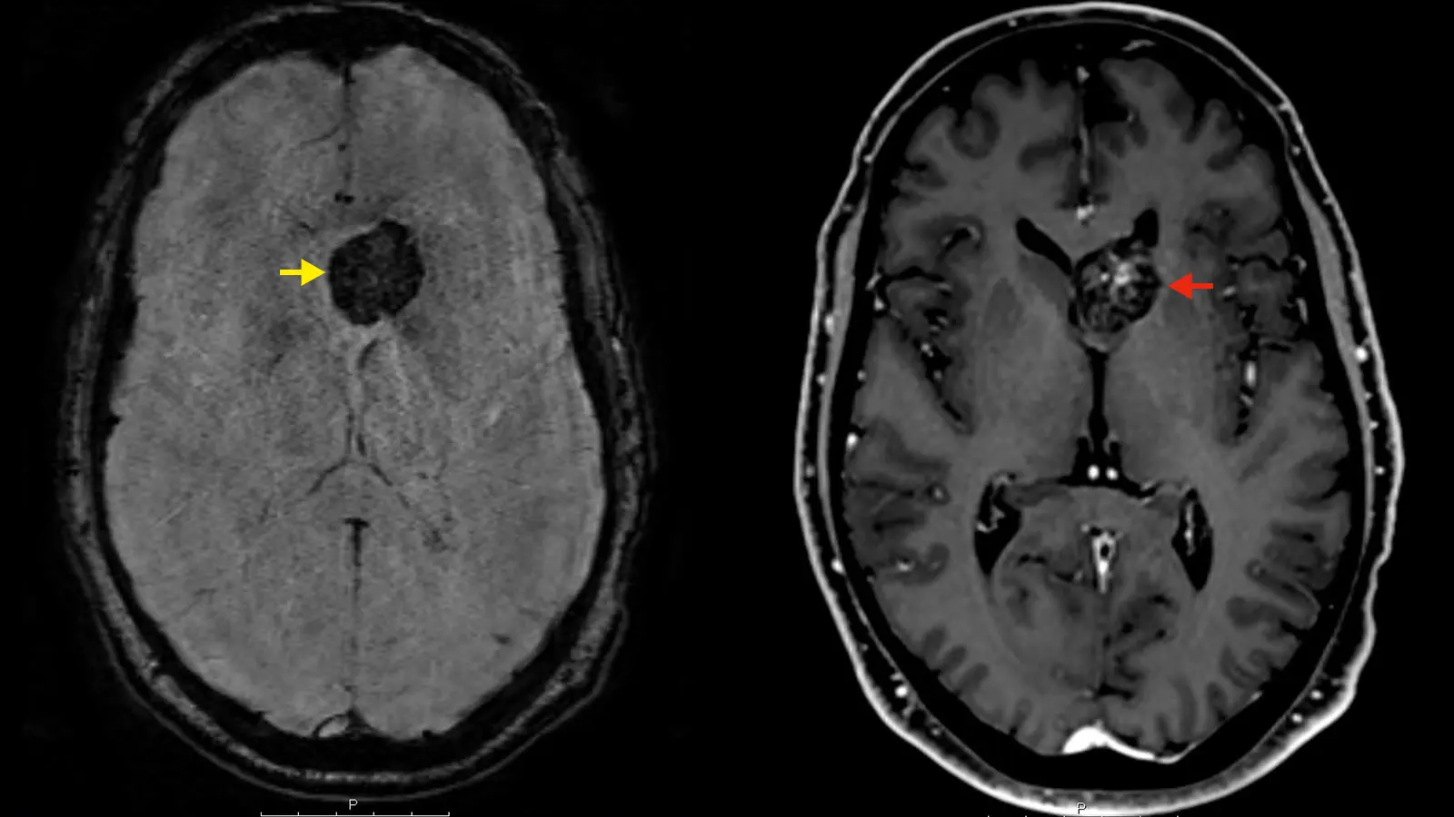
Die Diagnose von Kavernomen erfolgt in der Regel durch eine Magnetresonanztomographie (MRT). Diese bildgebende Untersuchung ermöglicht es den Ärzten, die Größe, Lage und Aktivität des Kavernoms zu beurteilen.
In einigen Fällen kann auch eine Angiographie durchgeführt werden, bei der ein Kontrastmittel in die Blutgefäße injiziert wird, um die Blutversorgung des Kavernoms genauer zu untersuchen.

Behandlung von Kavernomen
Die Behandlung von Kavernomen hängt von verschiedenen Faktoren ab, darunter die Größe, Lage und Aktivität des Kavernoms, sowie die Symptome des Patienten. In vielen Fällen ist eine Behandlung nicht erforderlich, insbesondere wenn das Kavernom keine Symptome verursacht.

Konservative Behandlung
Wenn ein Kavernom keine Symptome verursacht, kann es in der Regel konservativ behandelt werden. Das bedeutet, dass der Patient regelmäßig überwacht wird, um sicherzustellen, dass das Kavernom nicht wächst oder zu bluten beginnt.
Operative Behandlung
In einigen Fällen kann eine Operation erforderlich sein, um das Kavernom zu entfernen. Dies ist insbesondere dann der Fall, wenn das Kavernom Symptome verursacht, in einem kritischen Bereich des Gehirns liegt oder ein hohes Risiko für eine Blutung besteht.
Die Operation ist jedoch ein komplexer Eingriff, der mit Risiken verbunden ist. Daher wird sie nur dann durchgeführt, wenn die Vorteile die Risiken überwiegen.
Strahlentherapie
In einigen Fällen kann eine Strahlentherapie eingesetzt werden, um das Wachstum des Kavernoms zu verlangsamen oder das Risiko für eine Blutung zu reduzieren. Die Strahlentherapie ist jedoch nicht immer wirksam und kann auch zu Nebenwirkungen führen.
Medikamente
Medikamente können eingesetzt werden, um die Symptome von Kavernomen zu behandeln. So können beispielsweise Antiepileptika verwendet werden, um Krampfanfälle zu verhindern, und Schmerzmittel können eingesetzt werden, um Kopfschmerzen zu lindern.
Prognose von Kavernomen
Die Prognose für Menschen mit Kavernomen ist in der Regel gut, insbesondere wenn das Kavernom keine Symptome verursacht. Wenn ein Kavernom jedoch Symptome verursacht, hängt die Prognose von der Größe, Lage und Aktivität des Kavernoms, sowie von der Wirksamkeit der Behandlung ab.
In einigen Fällen kann ein Kavernom zu einer Hirnblutung führen, die schwere neurologische Schäden verursachen kann. Das Risiko für eine Hirnblutung ist bei Kavernomen im Hirnstamm erhöht.
Wie Sie das Risiko für die Entwicklung von Kavernomen reduzieren können
Es gibt keine bewährten Methoden, um das Risiko für die Entwicklung von Kavernomen zu reduzieren. Es wird jedoch empfohlen, einen gesunden Lebensstil zu führen, der Folgendes beinhaltet:
- Eine gesunde Ernährung
- Regelmäßige Bewegung
- Verzicht auf Rauchen
- Verzicht auf übermäßigen Alkoholkonsum
Häufig gestellte Fragen
Was ist der Unterschied zwischen einem Kavernom und einem Aneurysma?
Kavernome und Aneurysmen sind beides Gefäßmissbildungen, aber sie unterscheiden sich in ihrer Struktur und ihrem Verhalten. Ein Kavernom ist ein Geflecht von abnormalen Blutgefäßen, während ein Aneurysma eine Ausbuchtung in einer Arterie ist. Aneurysmen sind in der Regel anfälliger für das Platzen als Kavernome.
Kann ein Kavernom verschwinden?
In einigen Fällen kann ein Kavernom von selbst verschwinden, insbesondere wenn es klein ist und keine Symptome verursacht. Es ist jedoch auch möglich, dass ein Kavernom wächst oder zu bluten beginnt, selbst wenn es zuvor keine Symptome verursacht hat.
Was passiert, wenn ein Kavernom zu bluten beginnt?
Wenn ein Kavernom zu bluten beginnt, kann dies zu einer Hirnblutung führen. Eine Hirnblutung kann schwere neurologische Schäden verursachen, einschließlich Lähmungen, Sprachstörungen und Bewusstseinsstörungen.
Kann ich ein Kavernom durch einen gesunden Lebensstil verhindern?
Es gibt keine bewährten Methoden, um das Risiko für die Entwicklung von Kavernomen zu reduzieren. Es wird jedoch empfohlen, einen gesunden Lebensstil zu führen, der Folgendes beinhaltet: eine gesunde Ernährung, regelmäßige Bewegung, Verzicht auf Rauchen und Verzicht auf übermäßigen Alkoholkonsum.
Sollte ich mir Sorgen machen, wenn ich ein Kavernom habe?
Wenn Sie ein Kavernom haben, sollten Sie sich von einem Arzt beraten lassen. Die meisten Kavernome verursachen keine Symptome und erfordern keine Behandlung. Wenn Sie jedoch Symptome haben, sollten Sie unbedingt einen Arzt aufsuchen, um die Ursache Ihrer Symptome zu klären und eine geeignete Behandlung zu erhalten.
Zusammenfassung
Kavernome sind gutartige Gefäßmissbildungen, die in verschiedenen Teilen des Körpers auftreten können, am häufigsten jedoch im Gehirn und Rückenmark. Viele Kavernome verursachen keine Symptome und werden erst bei einer Routineuntersuchung oder bei einer anderen medizinischen Untersuchung entdeckt. Wenn Symptome auftreten, können sie sehr unterschiedlich sein, abhängig von der Größe, Lage und Aktivität des Kavernoms.
Die Behandlung von Kavernomen hängt von verschiedenen Faktoren ab, darunter die Größe, Lage und Aktivität des Kavernoms, sowie die Symptome des Patienten. In vielen Fällen ist eine Behandlung nicht erforderlich, insbesondere wenn das Kavernom keine Symptome verursacht.

Wenn Sie ein Kavernom haben, sollten Sie sich von einem Arzt beraten lassen, um die beste Behandlung für Ihre Situation zu finden.
Wenn Sie andere Artikel kennenlernen möchten, die Kavernome im gehirn: ursachen, symptome & behandlung ähneln, können Sie die Kategorie Gehirnmissbildungen besuchen.
