Die Geburt eines Kindes ist ein wunderschönes und zugleich komplexes Ereignis. Während die meisten Babys gesund und munter zur Welt kommen, können in einigen Fällen Komplikationen auftreten, die das Leben des Neugeborenen und seiner Familie nachhaltig beeinflussen können. Eine solche Komplikation ist das Hirnödem, auch bekannt als Gehirnödem.

Was ist Hirnödem?
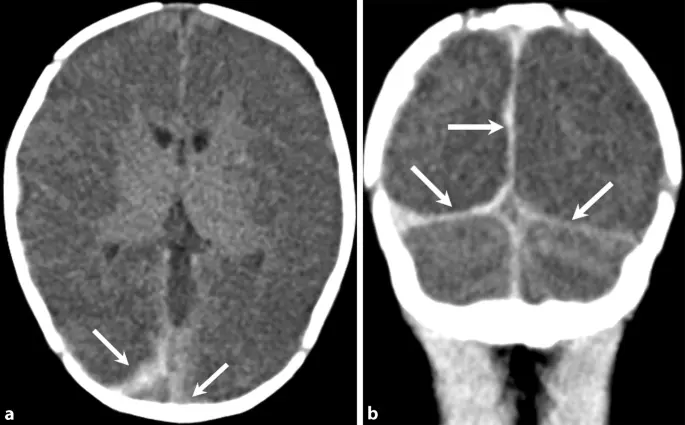
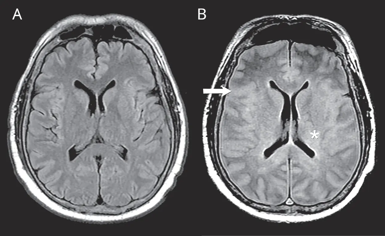
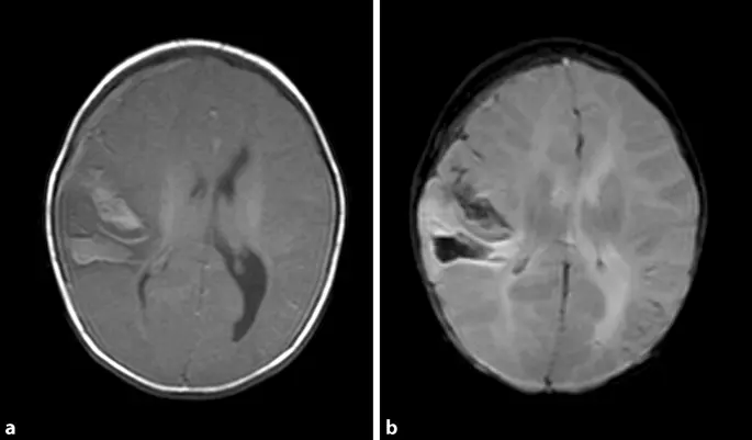
Hirnödem bezeichnet eine Schwellung des Gehirns. Diese Schwellung entsteht, wenn sich Flüssigkeit im Gehirn ansammelt und den Druck im Schädel erhöht. Dies kann zu verschiedenen Symptomen führen, die von leichten bis hin zu schweren und lebensbedrohlichen reichen.
Die Ursachen für ein Hirnödem nach der Geburt können vielfältig sein. Zu den häufigsten zählen:
- Hypoxie: Sauerstoffmangel während der Geburt kann zu einer Schädigung des Gehirns führen, die wiederum ein Hirnödem auslösen kann.
- Geburtsverletzungen: Verletzungen des Kopfes während der Geburt, zum Beispiel durch eine Saugglocke oder eine Zange, können ebenfalls zu einem Hirnödem führen.
- Infektionen: Infektionen des Gehirns, wie Meningitis oder Enzephalitis, können ebenfalls eine Gehirnschwellung verursachen.
- Blutungen: Blutungen im Gehirn, zum Beispiel durch eine Hirnblutung, können zu einem Hirnödem führen.
- Stoffwechselstörungen: Bestimmte Stoffwechselstörungen können ebenfalls zu einer Ansammlung von Flüssigkeit im Gehirn führen.
- Medikamente: Manche Medikamente, die während der Schwangerschaft oder nach der Geburt verabreicht werden, können ebenfalls ein Hirnödem verursachen.
Wie entwickelt sich ein Hirnödem nach der Geburt?
Die Entwicklung eines Hirnödems nach der Geburt ist ein komplexer Prozess, der von der Ursache und der Schwere der Erkrankung abhängt. In einigen Fällen tritt das Hirnödem unmittelbar nach der Geburt auf, während es in anderen Fällen erst Stunden oder Tage später manifest wird.
Die Symptome eines Hirnödems können sehr unterschiedlich sein und hängen von der Schwere der Erkrankung ab. Zu den häufigsten Symptomen gehören:
- Apathie: Das Baby wirkt schläfrig und träge.
- Schwierigkeiten beim Saugen: Das Baby hat Schwierigkeiten beim Stillen oder mit der Flasche.
- Erbrechen: Das Baby erbricht häufig.
- Krampfanfälle: Das Baby hat Krampfanfälle.
- Kopfschmerzen: Das Baby zeigt Anzeichen von Kopfschmerzen, indem es sich an den Kopf fasst.
- Veränderungen des Verhaltens: Das Baby zeigt Veränderungen in seinem Verhalten, wie zum Beispiel Gereiztheit oder Unruhe.
- Augen: Pupillen reagieren nicht auf Licht, Augen stehen nach oben.
- Fontanelle: Die Fontanelle ist gespannt oder pulsiert.
Ein Hirnödem kann zu verschiedenen Komplikationen führen, darunter:
- Gehirnschäden: Ein Hirnödem kann zu dauerhaften Gehirnschäden führen, die zu Entwicklungsstörungen, Lernschwierigkeiten und Behinderungen führen können.
- Koma: Ein schweres Hirnödem kann zu einem Koma führen.
- Tod: In schweren Fällen kann ein Hirnödem zum Tod führen.
Wie wird ein Hirnödem behandelt?
Die Behandlung eines Hirnödems hängt von der Ursache und der Schwere der Erkrankung ab. In einigen Fällen ist eine sofortige Behandlung erforderlich, um die Symptome zu lindern und weitere Schäden am Gehirn zu verhindern.
Zu den Behandlungsmaßnahmen gehören:
- Sauerstofftherapie: Bei Sauerstoffmangel wird dem Baby Sauerstoff verabreicht.
- Medikamente: Medikamente können zur Reduzierung des Hirndrucks und zur Kontrolle von Krampfanfällen verabreicht werden.
- Operation: In einigen Fällen kann eine Operation erforderlich sein, um den Druck im Schädel zu senken oder eine Blutung im Gehirn zu stoppen.
Prognose
Die Prognose für ein Hirnödem hängt von der Ursache und der Schwere der Erkrankung sowie von der rechtzeitigen und effektiven Behandlung ab. In einigen Fällen kann das Hirnödem vollständig ausheilen, während in anderen Fällen dauerhafte Schäden am Gehirn auftreten können.
Frühzeitige Diagnose und Behandlung sind entscheidend für die bestmögliche Prognose. Bei Verdacht auf ein Hirnödem ist es wichtig, umgehend einen Arzt aufzusuchen.
Häufig gestellte Fragen
Was sind die Risiken eines Hirnödems?
Ein Hirnödem kann zu verschiedenen Risiken führen, darunter:
- Gehirnschäden: Ein Hirnödem kann zu dauerhaften Gehirnschäden führen, die zu Entwicklungsstörungen, Lernschwierigkeiten und Behinderungen führen können.
- Koma: Ein schweres Hirnödem kann zu einem Koma führen.
- Tod: In schweren Fällen kann ein Hirnödem zum Tod führen.
Kann man ein Hirnödem verhindern?
Nicht alle Ursachen für ein Hirnödem können verhindert werden. Es gibt jedoch einige Maßnahmen, die das Risiko eines Hirnödems reduzieren können, wie zum Beispiel:
- Gesunde Schwangerschaft: Eine gesunde Schwangerschaft mit ausreichender Ernährung und Vermeidung von Alkohol und Rauchen kann das Risiko für Komplikationen während der Geburt reduzieren.
- Frühzeitige medizinische Versorgung: Frühzeitige medizinische Versorgung bei Risikoschwangerschaften kann Komplikationen während der Geburt verhindern.
Wie lange dauert es, bis ein Hirnödem abgeklungen ist?
Die Dauer, bis ein Hirnödem abgeklungen ist, hängt von der Ursache und der Schwere der Erkrankung ab. In einigen Fällen kann das Hirnödem innerhalb weniger Tage oder Wochen abklingen, während in anderen Fällen dauerhafte Schäden am Gehirn auftreten können.
Welche Langzeitfolgen kann ein Hirnödem haben?
Die Langzeitfolgen eines Hirnödems hängen von der Schwere der Erkrankung und den entstandenen Gehirnschäden ab. Zu den möglichen Langzeitfolgen gehören:
- Entwicklungsstörungen: Entwicklungsstörungen können in verschiedenen Bereichen auftreten, wie zum Beispiel in der Sprache, Motorik oder Kognition.
- Lernschwierigkeiten: Lernschwierigkeiten können sich in verschiedenen Bereichen zeigen, wie zum Beispiel beim Lesen, Schreiben oder Rechnen.
- Behinderung: In schweren Fällen kann ein Hirnödem zu einer Behinderung führen.
Wie kann ich mein Kind nach einem Hirnödem unterstützen?
Die Unterstützung eines Kindes nach einem Hirnödem hängt von der Schwere der Erkrankung und den entstandenen Gehirnschäden ab. Es ist wichtig, dass das Kind die bestmögliche medizinische Versorgung erhält und frühzeitig mit der entsprechenden Therapie begonnen wird.
Zusätzlich zur medizinischen Versorgung ist es wichtig, das Kind emotional zu unterstützen und ihm ein stabiles und liebevolles Umfeld zu bieten. Es ist wichtig, Geduld und Verständnis zu haben und das Kind in seinen Entwicklungsschritten zu fördern.

Es ist wichtig, sich an einen Facharzt für Kinderneurologie oder einen anderen Spezialisten zu wenden, um die bestmögliche Unterstützung für Ihr Kind zu erhalten.
Zusammenfassung
Hirnödem ist eine ernsthafte Komplikation, die bei Neugeborenen auftreten kann. Es ist wichtig, die Symptome zu erkennen und frühzeitig einen Arzt aufzusuchen, um eine rechtzeitige Behandlung zu ermöglichen. Die Prognose für ein Hirnödem hängt von der Ursache und der Schwere der Erkrankung sowie von der rechtzeitigen und effektiven Behandlung ab.
Frühzeitige Diagnose und Behandlung sind entscheidend für die bestmögliche Prognose. Bei Verdacht auf ein Hirnödem ist es wichtig, umgehend einen Arzt aufzusuchen.
Wenn Sie andere Artikel kennenlernen möchten, die Hirnödem bei neugeborenen: ursachen, symptome & behandlung ähneln, können Sie die Kategorie Neugeborenen-gesundheit besuchen.
