Eine Schwangerschaft ist eine aufregende und zugleich herausfordernde Zeit für jede Frau. Während der gesamten Schwangerschaft gibt es viele Veränderungen, die im Körper der Mutter stattfinden, und viele Dinge, die überwacht werden müssen, um sicherzustellen, dass das Baby gesund wächst. Eine der ersten wichtigen Untersuchungen, die während einer Schwangerschaft durchgeführt werden, ist der Ultraschall. Dieser hilft, die Größe und Entwicklung des Embryos und der Fruchthöhle zu beurteilen.
Oft fragen sich Schwangere, was es bedeutet, wenn die Fruchthöhle groß ist. Ist das ein gutes Zeichen oder ein Grund zur Sorge? In diesem Artikel erfahren Sie alles, was Sie über die Größe der Fruchthöhle und ihre Bedeutung für die Schwangerschaft wissen müssen.
Was ist die Fruchthöhle?
Die Fruchthöhle, auch Amnionhöhle genannt, ist ein mit Flüssigkeit gefüllter Hohlraum, der sich in der Gebärmutter der Mutter während der Schwangerschaft entwickelt. Sie umgibt den Embryo und bietet ihm Schutz und Nährstoffe. Die Fruchthöhle wächst während der Schwangerschaft kontinuierlich, um Platz für das wachsende Baby zu schaffen.
Die Größe der Fruchthöhle ist ein wichtiger Indikator für die Entwicklung des Embryos. Eine große Fruchthöhle kann ein Hinweis auf eine gesunde Schwangerschaft sein, während eine kleine Fruchthöhle ein Zeichen für Komplikationen sein kann. Es ist jedoch wichtig zu beachten, dass die Größe der Fruchthöhle nicht der einzige Faktor ist, der die Gesundheit der Schwangerschaft bestimmt.
Wie groß sollte die Fruchthöhle in der Schwangerschaftswoche sein?
In der Schwangerschaftswoche sollte die Fruchthöhle einen Durchmesser von etwa 10-15 mm haben. In dieser Woche kann der Embryo bereits sichtbar sein und sollte etwa 3-5 mm groß sein. Der Dottersack, der dem Embryo Nährstoffe liefert, sollte außerhalb der Amnionhöhle liegen und einen Durchmesser von etwa 5 mm haben.
Die Größe der Fruchthöhle kann je nach Schwangerschaftswoche variieren. In den frühen Stadien der Schwangerschaft wächst sie sehr schnell, während sie in späteren Stadien langsamer wächst. Es ist wichtig, dass die Größe der Fruchthöhle im Vergleich zu den anderen Entwicklungsparametern des Embryos betrachtet wird.
Große Fruchthöhle: Ein gutes Zeichen?
Im Allgemeinen gilt eine große Fruchthöhle als ein gutes Zeichen für eine gesunde Schwangerschaft. Sie deutet darauf hin, dass der Embryo ausreichend Platz zum Wachsen hat und dass die Schwangerschaft normal verläuft. Es ist jedoch wichtig zu beachten, dass die Größe der Fruchthöhle alleine nicht ausreicht, um die Gesundheit der Schwangerschaft zu beurteilen.
Es gibt verschiedene Faktoren, die die Größe der Fruchthöhle beeinflussen können, wie zum Beispiel:
- Das Alter der Mutter
- Die Anzahl der Schwangerschaften
- Die Größe des Embryos
- Die Menge der Fruchtwasser
Wenn die Fruchthöhle deutlich größer ist als erwartet, kann dies ein Hinweis auf eine Mehrlingsschwangerschaft, eine übermäßige Fruchtwassermenge oder andere Komplikationen sein. Es ist wichtig, dass Sie mit Ihrem Arzt sprechen, wenn Sie sich Sorgen um die Größe der Fruchthöhle machen.
Was kann man tun, wenn die Fruchthöhle zu klein ist?
Eine kleine Fruchthöhle kann ein Zeichen für eine Fehlgeburt, eine Eileiterschwangerschaft oder andere Komplikationen sein. Wenn die Fruchthöhle zu klein ist, wird Ihr Arzt weitere Untersuchungen durchführen, um die Ursache zu ermitteln. In einigen Fällen kann eine kleine Fruchthöhle auch ein Zeichen für eine verzögerte Entwicklung des Embryos sein.
Es ist wichtig, dass Sie mit Ihrem Arzt sprechen, wenn Sie sich Sorgen um die Größe der Fruchthöhle machen. Er kann Ihnen die beste Vorgehensweise für Ihre Situation empfehlen.
Weitere wichtige Informationen zur Fruchthöhle
Fruchtwasser
Die Fruchthöhle ist mit Fruchtwasser gefüllt, das dem Baby eine schützende Umgebung bietet. Es ermöglicht dem Baby, sich frei zu bewegen, schützt es vor Stößen und hilft bei der Regulierung der Körpertemperatur. Die Menge des Fruchtwassers kann während der Schwangerschaft variieren, aber es sollte immer ausreichend vorhanden sein, um das Baby zu schützen.
Dottersack
Der Dottersack ist eine kleine, runde Struktur, die sich innerhalb der Fruchthöhle befindet. Er liefert dem Embryo in den ersten Wochen der Schwangerschaft Nährstoffe und Sauerstoff. Der Dottersack schrumpft mit der Zeit, wenn die Plazenta beginnt, die Rolle der Nährstoffversorgung zu übernehmen.
Entwicklung des Embryos
Die Größe der Fruchthöhle ist ein wichtiger Indikator für die Entwicklung des Embryos. In den ersten Wochen der Schwangerschaft wächst die Fruchthöhle sehr schnell, um Platz für das wachsende Baby zu schaffen. Die Größe der Fruchthöhle kann auch verwendet werden, um das Alter des Embryos zu schätzen.

Was passiert, wenn die Fruchthöhle zu groß ist?
Eine große Fruchthöhle kann auf eine Mehrlingsschwangerschaft, eine übermäßige Fruchtwassermenge oder andere Komplikationen hindeuten. Es ist wichtig, dass Sie mit Ihrem Arzt sprechen, wenn Sie sich Sorgen um die Größe der Fruchthöhle machen.
Was passiert, wenn die Fruchthöhle zu klein ist?
Eine kleine Fruchthöhle kann ein Zeichen für eine Fehlgeburt, eine Eileiterschwangerschaft oder andere Komplikationen sein. Es ist wichtig, dass Sie mit Ihrem Arzt sprechen, wenn Sie sich Sorgen um die Größe der Fruchthöhle machen.
Kann die Größe der Fruchthöhle verändert werden?
Die Größe der Fruchthöhle kann nicht verändert werden. Es ist ein natürlicher Prozess, der während der Schwangerschaft stattfindet.
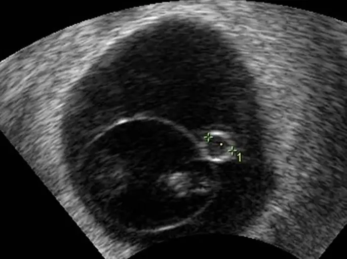
Wie wird die Größe der Fruchthöhle gemessen?
Die Größe der Fruchthöhle wird mit einem Ultraschall gemessen. Der Arzt kann die Größe der Fruchthöhle anhand des Ultraschallbildes messen.
Wann sollte ich mir Sorgen um die Größe der Fruchthöhle machen?
Sie sollten sich Sorgen um die Größe der Fruchthöhle machen, wenn sie deutlich größer oder kleiner ist als erwartet. Es ist wichtig, dass Sie mit Ihrem Arzt sprechen, wenn Sie sich Sorgen um die Größe der Fruchthöhle machen.
Zusammenfassung
Die Größe der Fruchthöhle ist ein wichtiger Indikator für die Entwicklung des Embryos. Eine große Fruchthöhle kann ein Hinweis auf eine gesunde Schwangerschaft sein, während eine kleine Fruchthöhle ein Zeichen für Komplikationen sein kann. Es ist jedoch wichtig zu beachten, dass die Größe der Fruchthöhle nicht der einzige Faktor ist, der die Gesundheit der Schwangerschaft bestimmt.
Wenn Sie sich Sorgen um die Größe der Fruchthöhle machen, sprechen Sie mit Ihrem Arzt. Er kann Ihnen die beste Vorgehensweise für Ihre Situation empfehlen.
Schlussfolgerung
Eine große Fruchthöhle kann ein gutes Zeichen für eine gesunde Schwangerschaft sein, aber es ist wichtig, dass Sie mit Ihrem Arzt sprechen, um sicherzustellen, dass alles in Ordnung ist. Die Größe der Fruchthöhle ist nur ein Faktor, der bei der Beurteilung der Gesundheit der Schwangerschaft berücksichtigt werden muss. Es gibt viele andere Faktoren, die die Gesundheit der Schwangerschaft beeinflussen können, und es ist wichtig, dass Sie mit Ihrem Arzt zusammenarbeiten, um sicherzustellen, dass Sie die bestmögliche Versorgung erhalten.
Wenn Sie andere Artikel kennenlernen möchten, die Große fruchthöhle: zeichen für gesunde schwangerschaft? ähneln, können Sie die Kategorie Fruchtblase größe besuchen.
