Ein Darmdurchbruch, auch bekannt als Darmperforation oder Darmruptur, ist ein ernster medizinischer Notfall, der sofortige ärztliche Hilfe erfordert. Es handelt sich um eine krankhafte Öffnung in der Wand des Dünndarms oder Dickdarms, die dazu führen kann, dass Darminhalt, einschließlich Darmgas, in die Bauchhöhle gelangt. Dies kann zu einer Peritonitis (Entzündung des Bauchfells) führen, einer lebensbedrohlichen Infektion.
Ursachen eines Darmdurchbruchs
Es gibt verschiedene Ursachen für einen Darmdurchbruch, die in folgende Kategorien eingeteilt werden können:
Mechanische Ursachen
- Scharfe oder stumpfe Gewalteinwirkungen: Schussverletzungen, Stichverletzungen oder starke Stöße können den Darm direkt durchbohren.
- Verschluckte Fremdkörper: Spitzes oder scharfkantiges Material, das verschluckt wird, kann die Darmwand perforieren. Auch bei Einklemmung von Fremdkörpern kann es zu einer allmählichen Durchbohrung kommen.
- Verschluckte Magnete: Mehrere verschluckte Magnete können sich in verschiedenen Darmschlingen anziehen und so Druck auf die Darmwand ausüben, was zu einer Perforation führen kann.
- Fremdkörper, die über den After eingeführt werden: Verletzungen von innen durch Fremdkörper, die über den After in den Darm eingeführt werden, sind möglich.
- Iatrogene Perforationen: Perforationen, die durch medizinische Eingriffe entstehen, können bei Endoskopien des Dickdarms oder Dünndarms auftreten, insbesondere bei therapeutischen Endoskopien.
- Verdrehung (Volvulus): Eine Verdrehung des Darms kann zu einer Abklemmung des Blutflusses und letztendlich zu einer Perforation führen.
- Einklemmung von Darm in einer Bruchlücke (Hernie): Wenn ein Darmabschnitt in eine Bruchlücke eingeklemmt ist, kann der Blutfluss unterbrochen werden und eine Perforation entstehen.
- Mechanischer Ileus: Ein mechanischer Darmverschluss kann zu einem starken Druckaufbau im Darmlumen führen und die Darmwand schädigen.
Störungen der Durchblutung
- Mesenterialinfarkt: Ein Verschluss der Blutgefäße, die den Darm versorgen, kann zu einem Absterben des Darmgewebes und einer Perforation führen.
- Volvulus: Eine Verdrehung des Darms kann den Blutfluss unterbrechen und zu einer Perforation führen.
- Hernie: Die Einklemmung von Darm in einer Bruchlücke kann den Blutfluss unterbrechen und zu einer Perforation führen.
- Ileus: Ein Darmverschluss kann den Blutfluss im Darm beeinträchtigen und zu einer Perforation führen.
Entzündliche Ursachen
- Divertikulitis: Eine Entzündung von Ausstülpungen in der Darmwand kann zu einer Perforation führen.
- Chronisch-entzündliche Darmerkrankungen (CED): Morbus Crohn und Colitis ulcerosa können zu Entzündungen und Geschwüren führen, die zur Perforation führen können.
- Appendicitis: Eine Entzündung des Wurmfortsatzes kann zu einer Perforation führen.
- Tumor: Ein Tumor im Darm kann die Darmwand durchwachsen und zu einer Perforation führen.
Chemische Substanzen / Medikamente
- Glukokortikoide: Diese Medikamente können die Darmwand schwächen und das Risiko für eine Perforation erhöhen.
- Erlotinib und Bevacizumab: Diese Medikamente werden zur Behandlung von Krebs eingesetzt und können ebenfalls das Risiko für eine Perforation erhöhen.
Symptome eines Darmdurchbruchs
Die Symptome eines Darmdurchbruchs können je nach Ursache und Schweregrad variieren. Einige häufige Symptome sind:
- Plötzlicher, starker Bauchschmerz: Der Schmerz kann sich in der gesamten Bauchhöhle oder in einem bestimmten Bereich konzentrieren.
- Übelkeit und Erbrechen: Erbrechen kann Blut oder Darminhalt enthalten.
- Fieber: Fieber ist ein Zeichen für eine Infektion.
- Bauchspannung: Der Bauch fühlt sich hart und gespannt an.
- Verstopfung: Die Darmtätigkeit kann verlangsamt oder ganz aussetzen.
- Durchfall: Durchfall kann ein Zeichen für eine Entzündung des Darms sein.
- Schnellere Atmung: Eine schnellere Atmung kann ein Zeichen für eine Infektion oder einen Schock sein.
- Schwäche und Benommenheit: Schwäche und Benommenheit können ein Zeichen für einen Blutverlust oder einen Schock sein.
Wichtig: Wenn Sie eines oder mehrere dieser Symptome bemerken, suchen Sie sofort einen Arzt auf. Ein Darmdurchbruch ist ein medizinischer Notfall, der schnell behandelt werden muss.
Diagnose eines Darmdurchbruchs
Um einen Darmdurchbruch zu diagnostizieren, wird der Arzt eine körperliche Untersuchung durchführen und die Krankengeschichte des Patienten erfragen. Folgende Untersuchungen können durchgeführt werden:
- Röntgenaufnahme des Abdomens: Eine Röntgenaufnahme kann freie Luft in der Bauchhöhle zeigen, die ein Hinweis auf einen Darmdurchbruch sein kann.
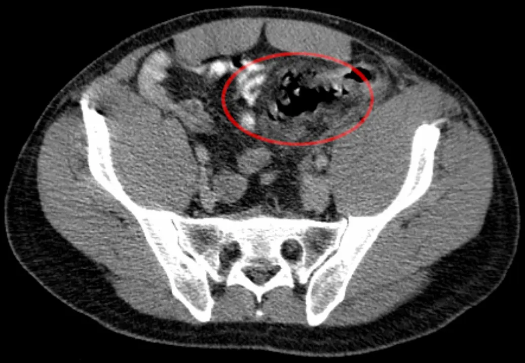
- Computertomographie (CT): Eine CT-Untersuchung kann den Darm genauer darstellen und die Ursache des Darmdurchbruchs identifizieren.
- Ultraschalluntersuchung: Eine Ultraschalluntersuchung kann helfen, die Ursache des Darmdurchbruchs zu identifizieren.
- Blutuntersuchungen: Blutuntersuchungen können Entzündungswerte im Blut feststellen, die auf eine Infektion hinweisen.
Behandlung eines Darmdurchbruchs
Die Behandlung eines Darmdurchbruchs hängt von der Ursache und dem Schweregrad ab. In der Regel ist eine Operation erforderlich, um die Perforation zu reparieren und die Infektion zu behandeln.
- Operation: Die Operation beinhaltet die Reparatur der Perforation und die Entfernung von infiziertem Gewebe. In einigen Fällen kann eine Darmresektion (Entfernung eines Teils des Darms) erforderlich sein.
- Antibiotika: Antibiotika werden zur Behandlung der Infektion eingesetzt.
- Flüssigkeitszufuhr: Eine ausreichende Flüssigkeitszufuhr ist wichtig, um den Flüssigkeitsverlust durch Erbrechen und Durchfall auszugleichen.
- Schmerzmittel: Schmerzmittel können zur Linderung der Schmerzen eingesetzt werden.
Komplikationen eines Darmdurchbruchs
Ein Darmdurchbruch kann zu verschiedenen Komplikationen führen, darunter:
- Peritonitis: Eine Entzündung des Bauchfells, die lebensbedrohlich sein kann.
- Sepsis: Eine schwere Blutvergiftung, die lebensbedrohlich sein kann.
- Darmverschluss: Ein Darmverschluss kann durch Narbengewebe nach der Operation oder durch die Entzündung des Darms verursacht werden.
- Abszesse: Abszesse sind Eiteransammlungen, die sich in der Bauchhöhle bilden können.
- Fisteln: Fisteln sind abnormale Verbindungen zwischen dem Darm und anderen Organen oder der Haut.
Prognose eines Darmdurchbruchs
Die Prognose eines Darmdurchbruchs hängt von der Ursache, dem Schweregrad und der rechtzeitigen Behandlung ab. Eine frühzeitige Diagnose und Behandlung verbessern die Prognose deutlich. Ohne Behandlung ist ein Darmdurchbruch lebensbedrohlich.
Prävention eines Darmdurchbruchs
Es gibt einige Maßnahmen, die das Risiko für einen Darmdurchbruch verringern können:
- Gesunde Ernährung: Eine gesunde Ernährung mit viel Ballaststoffen kann das Risiko für Divertikulitis und andere Darmerkrankungen verringern.
- Regelmäßige Bewegung: Regelmäßige Bewegung kann das Risiko für Verstopfung und Darmverschluss verringern.
- Rauchen vermeiden: Rauchen erhöht das Risiko für Darmerkrankungen, einschließlich Divertikulitis.
- Alkohol vermeiden: Alkoholkonsum erhöht das Risiko für Darmerkrankungen, einschließlich Divertikulitis.
- Medikamente nach Anweisung einnehmen: Medikamente, die das Risiko für eine Perforation erhöhen, sollten nur nach Anweisung des Arztes eingenommen werden.
Was sind die häufigsten Symptome eines Darmdurchbruchs?
Die häufigsten Symptome eines Darmdurchbruchs sind plötzlicher, starker Bauchschmerz, Übelkeit und Erbrechen, Fieber, Bauchspannung und Verstopfung.
Wie wird ein Darmdurchbruch diagnostiziert?
Ein Darmdurchbruch wird in der Regel durch eine körperliche Untersuchung, Röntgenaufnahmen des Abdomens und eine CT-Untersuchung diagnostiziert.
Wie wird ein Darmdurchbruch behandelt?
Ein Darmdurchbruch wird in der Regel durch eine Operation behandelt, bei der die Perforation repariert und die Infektion behandelt wird.
Was sind die Komplikationen eines Darmdurchbruchs?
Komplikationen eines Darmdurchbruchs können Peritonitis, Sepsis, Darmverschluss, Abszesse und Fisteln sein.

Wie kann ich das Risiko für einen Darmdurchbruch verringern?
Sie können das Risiko für einen Darmdurchbruch verringern, indem Sie eine gesunde Ernährung einhalten, regelmäßig Sport treiben, das Rauchen vermeiden und Alkohol in Maßen konsumieren.
Zusammenfassung
Ein Darmdurchbruch ist ein ernster medizinischer Notfall, der sofortige ärztliche Hilfe erfordert. Es handelt sich um eine krankhafte Öffnung in der Wand des Dünndarms oder Dickdarms, die dazu führen kann, dass Darminhalt in die Bauchhöhle gelangt. Die Ursachen für einen Darmdurchbruch sind vielfältig, und die Symptome können je nach Ursache und Schweregrad variieren. Die Behandlung eines Darmdurchbruchs hängt von der Ursache und dem Schweregrad ab, aber in der Regel ist eine Operation erforderlich, um die Perforation zu reparieren und die Infektion zu behandeln.
Wichtig: Wenn Sie eines oder mehrere der oben genannten Symptome bemerken, suchen Sie sofort einen Arzt auf. Ein Darmdurchbruch ist ein medizinischer Notfall, der schnell behandelt werden muss.
Wenn Sie andere Artikel kennenlernen möchten, die Anzeichen eines Darmdurchbruchs: Ursachen, Symptome und Behandlung ähneln, können Sie die Kategorie Notfälle besuchen.
